别名:SCP; SPC; UCNIII应用:WB,IHC
反应种属:Human
规格:50μl/100μl
| Description |
|---|
| This gene encodes a member of the sauvagine/corticotropin-releasing factor/urotensin I family of proteins. The encoded preproprotein is proteolytically processed to generate the mature peptide hormone, which is secreted by pancreatic beta and alpha cells. This hormone is an endogenous ligand for corticotropin-releasing factor receptor 2 and may regulate insulin secretion in response to plasma glucose levels. Patients with type 2 diabetes exhibit reduced levels of the encoded protein in beta cells. In the brain, the encoded protein may be responsible for the effects of stress on appetite. |
| Specification | |
|---|---|
| Aliases | SCP; SPC; UCNIII |
| Swissprot | Q969E3 |
| WB Predicted band size | 18 kDa |
| Host/Isotype | Rabbit IgG |
| Storage | Store at 4°C short term. Aliquot and store at -20°C long term. Avoid freeze/thaw cycles. |
| Species Reactivity | Human |
| Immunogen | Synthetic peptide of human UCN3 |
| Formulation | pH7.4 PBS, 0.05% NaN3, 40% Glycerol |
| Application | |
|---|---|
| WB | 1/200-1/1000 |
| IHC | 1/20-1/100 |
| ELISA | 1/5000-1/10000 |
![]() |
Gel: 12%SDS-PAGE, Lysate: 40 μg, Lane: HT-29 cell lysate, Primary antibody: P13146(UCN3 Antibody) at dilution 1/250, Secondary antibody: Goat anti rabbit IgG at 1/8000 dilution, Exposure time: 40 seconds |
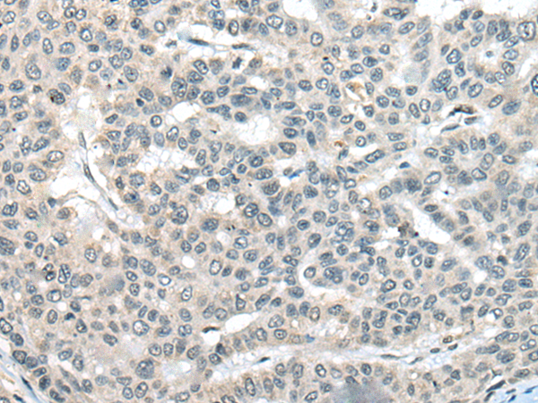
![]() |
The image is immunohistochemistry of paraffin-embedded Human liver cancer tissue using P13146(UCN3 Antibody) at dilution 1/20. (Original magnification: ×200) |
本公司的所有产品仅用于科学研究或者工业应用等非医疗目的,不可用于人类或动物的临床诊断或治疗,非药用,非食用。
暂无评论
本公司的所有产品仅用于科学研究或者工业应用等非医疗目的,不可用于人类或动物的临床诊断或治疗,非药用,非食用。
中文


发表回复