别名:UDP-glucuronosyltransferase 2B17, UDPGT 2B17, C19-steroid-specific UDP-glucuronosyltransferase, C19-steroid-specific UDPGT, UGT2B17应用:WB,IHC
反应种属:Human
规格:50μl/100μl
| Description |
|---|
| UGT2B17 belongs to the family of UDP-glucuronosyltransferases (UGTs; EC 2.4.1.17), enzymes that catalyze the transfer of glucuronic acid from uridine diphosphoglucuronic acid to a variety of substrates, including steroid hormones. |
| Specification | |
|---|---|
| Aliases | UDP-glucuronosyltransferase 2B17, UDPGT 2B17, C19-steroid-specific UDP-glucuronosyltransferase, C19-steroid-specific UDPGT, UGT2B17 |
| Entrez GeneID | 7367 |
| Swissprot | O75795 |
| WB Predicted band size | 61.1kDa |
| Host/Isotype | Rabbit IgG |
| Storage | Store at 4°C short term. Aliquot and store at -20°C long term. Avoid freeze/thaw cycles. |
| Species Reactivity | Human |
| Immunogen | This UDB17 antibody is generated from rabbits immunized with a KLH conjugated synthetic peptide between 119-147 amino acids from the Central region of human UDB17. |
| Formulation | Purified polyclonal antibody supplied in PBS with 0.05% sodium azide. This antibody is prepared by Saturated Ammonium Sulfate (SAS) precipitation followed by dialysis against PBS. |
| Application | |
|---|---|
| WB | 1/1000 |
| IHC | 1/100-1/500 |
![]() |
Western blot analysis of UDB17 antibody (Center) (Cat.# P30374) in Y79 cell line lysates (35ug/lane). UDB17 (arrow) was detected using the purified Pab. |
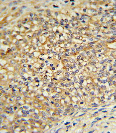
![]() |
UDB17 Antibody (Center) (Cat.# P30374) IHC analysis in formalin fixed and paraffin embedded human Prostate carcinoma followed by peroxidase conjugation of the secondary antibody and DAB staining. This data demonstrates the use of the UDB17 Antibody (Center) for immunohistochemistry. Clinical relevance has not been evaluated. |
本公司的所有产品仅用于科学研究或者工业应用等非医疗目的,不可用于人类或动物的临床诊断或治疗,非药用,非食用。
暂无评论
本公司的所有产品仅用于科学研究或者工业应用等非医疗目的,不可用于人类或动物的临床诊断或治疗,非药用,非食用。
中文


发表回复