别名:ICBP90; C6orf107; dJ349A12.1应用:IHC
反应种属:Human
规格:50μl/100μl
| Description |
|---|
| UHRF1BP1 (UHRF1 binding protein 1) is a 1,440 amino acid protein that interacts with UHRF1 and may act as a negative regulator of cell growth. The UHRF1BP1 protein has been identified as a possible risk loci for systemic lupus erythematosus. The UHRF1BP1 gene is conserved in chimpanzee, dog, cow, mouse, rat, chicken, zebrafish and C.elegans, and maps to human chromosome 6p21.31. |
| Specification | |
|---|---|
| Aliases | ICBP90; C6orf107; dJ349A12.1 |
| Swissprot | Q6BDS2 |
| Host/Isotype | Rabbit IgG |
| Storage | Store at 4°C short term. Aliquot and store at -20°C long term. Avoid freeze/thaw cycles. |
| Species Reactivity | Human |
| Immunogen | Synthetic peptide of human UHRF1BP1 |
| Formulation | pH7.4 PBS, 0.05% NaN3, 40% Glycerol |
| Application | |
|---|---|
| IHC | 1/25-1/100 |
| ELISA | 1/2000-1/5000 |
![]() |
The image is immunohistochemistry of paraffin-embedded Human breast cancer tissue using P05487(UHRF1BP1 Antibody) at dilution 1/25. (Original magnification: ×200) |
![]() |
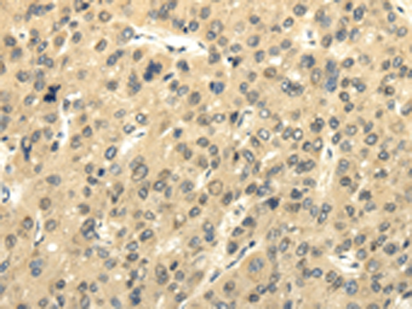
The image is immunohistochemistry of paraffin-embedded Human liver cancer tissue using P05487(UHRF1BP1 Antibody) at dilution 1/25. (Original magnification: ×200) |
本公司的所有产品仅用于科学研究或者工业应用等非医疗目的,不可用于人类或动物的临床诊断或治疗,非药用,非食用。
暂无评论
本公司的所有产品仅用于科学研究或者工业应用等非医疗目的,不可用于人类或动物的临床诊断或治疗,非药用,非食用。
中文


发表回复