别名:ATG1B; Unc51.2应用:IHC
反应种属:Human, Mouse
规格:50μl/100μl
| Description |
|---|
| This gene encodes a protein that is similar to a serine/threonine kinase in C. elegans which is involved in axonal elongation. The structure of this protein is similar to the C. elegans protein in that both proteins have an N-terminal kinase domain, a central proline/serine rich (PS) domain, and a C-terminal (C) domain. The gene is located within the Smith-Magenis syndrome region on chromosome 17. Alternatively spliced transcript variants encoding the same protein have been identified. |
| Specification | |
|---|---|
| Aliases | ATG1B; Unc51.2 |
| Swissprot | Q8IYT8 |
| Host/Isotype | Rabbit IgG |
| Storage | Store at 4°C short term. Aliquot and store at -20°C long term. Avoid freeze/thaw cycles. |
| Species Reactivity | Human, Mouse |
| Immunogen | Synthetic peptide of human ULK2 |
| Formulation | pH7.4 PBS, 0.05% NaN3, 40% Glycerol |
| Application | |
|---|---|
| IHC | 1/25-1/50 |
| ELISA | 1/5000-1/10000 |
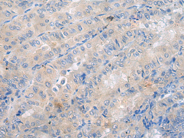
![]() |
The image is immunohistochemistry of paraffin-embedded Human liver cancer tissue using P12918(ULK2 Antibody) at dilution 1/25. (Original magnification: ×200) |
![]() |
The image is immunohistochemistry of paraffin-embedded Human thyroid cancer tissue using P12918(ULK2 Antibody) at dilution 1/25. (Original magnification: ×200) |
本公司的所有产品仅用于科学研究或者工业应用等非医疗目的,不可用于人类或动物的临床诊断或治疗,非药用,非食用。
暂无评论
本公司的所有产品仅用于科学研究或者工业应用等非医疗目的,不可用于人类或动物的临床诊断或治疗,非药用,非食用。
中文


发表回复