别名:QCR9; UCRC; HSPC051; HSPC119; HSPC151; UCCR7.2应用:IHC
反应种属:Human, Mouse
规格:50μl/100μl
| Description |
|---|
| UCRC is a subunit of mitochondrial complex III (ubiquinol-cytochrome c reductase; EC 1.10.2.2), which forms the middle segment of the respiratory chain of the inner mitochondrial membrane (Schagger et al., 1995 [PubMed 8592474]). |
| Specification | |
|---|---|
| Aliases | QCR9; UCRC; HSPC051; HSPC119; HSPC151; UCCR7.2 |
| Swissprot | Q9UDW1 |
| Host/Isotype | Rabbit IgG |
| Storage | Store at 4°C short term. Aliquot and store at -20°C long term. Avoid freeze/thaw cycles. |
| Species Reactivity | Human, Mouse |
| Immunogen | Synthetic peptide of human UQCR10 |
| Formulation | pH7.4 PBS, 0.05% NaN3, 40% Glycerol |
| Application | |
|---|---|
| IHC | 1/20-1/100 |
| ELISA | 1/5000-1/10000 |
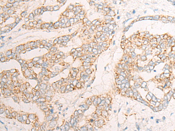
![]() |
The image is immunohistochemistry of paraffin-embedded Human gastric cancer tissue using P13231(UQCR10 Antibody) at dilution 1/30. (Original magnification: ×200) |
![]() |
The image is immunohistochemistry of paraffin-embedded Human liver cancer tissue using P13231(UQCR10 Antibody) at dilution 1/30. (Original magnification: ×200) |
本公司的所有产品仅用于科学研究或者工业应用等非医疗目的,不可用于人类或动物的临床诊断或治疗,非药用,非食用。
暂无评论
本公司的所有产品仅用于科学研究或者工业应用等非医疗目的,不可用于人类或动物的临床诊断或治疗,非药用,非食用。
中文


发表回复