别名:Ubiquitin carboxyl-terminal hydrolase 14, Deubiquitinating enzyme 14, Ubiquitin thioesterase 14, Ubiquitin-specific-processing protease 14, USP14, TGT应用:WB,IHC
反应种属:Human
规格:50μl/100μl
| Description |
|---|
| Modification of target proteins by ubiquitin participates in a wide array of biological functions. Proteins destined for degradation or processing via the 26 S proteasome are coupled to multiple copies of ubiquitin. However, attachment of ubiquitin or ubiquitin-related molecules may also result in changes in subcellular distribution or modification of protein activity. An additional level of ubiquitin regulation, deubiquitination, is catalyzed by proteases called deubiquitinating enzymes, which fall into four distinct families. Ubiquitin C-terminal hydrolases, ubiquitin-specific processing proteases (USPs),1 OTU-domain ubiquitin-aldehyde-binding proteins, and Jab1/Pad1/MPN-domain-containing metallo-enzymes. Among these four families, USPs represent the most widespread and represented deubiquitinating enzymes across evolution. USPs tend to release ubiquitin from a conjugated protein. They display similar catalytic domains containing conserved Cys and His boxes but divergent N-terminal and occasionally C-terminal extensions, which are thought to function in substrate recognition, subcellular localization, and protein-protein interactions. |
| Specification | |
|---|---|
| Aliases | Ubiquitin carboxyl-terminal hydrolase 14, Deubiquitinating enzyme 14, Ubiquitin thioesterase 14, Ubiquitin-specific-processing protease 14, USP14, TGT |
| Entrez GeneID | 9097 |
| Swissprot | P54578 |
| WB Predicted band size | 56.1kDa |
| Host/Isotype | Rabbit IgG |
| Storage | Store at 4°C short term. Aliquot and store at -20°C long term. Avoid freeze/thaw cycles. |
| Species Reactivity | Human |
| Immunogen | This USP14 antibody is generated from rabbits immunized with a KLH conjugated synthetic peptide between 1-30 amino acids from the N-terminal region of human USP14. |
| Formulation | Purified polyclonal antibody supplied in PBS with 0.05% sodium azide. This antibody is prepared by Saturated Ammonium Sulfate (SAS) precipitation followed by dialysis against PBS. |
| Application | |
|---|---|
| WB | 1/1000 |
| IHC | 1/100-1/500 |
![]() |
The anti-USP14 Pab (Cat. #P30066) is used in Western blot to detect USP14 in USP14-transfected HeLa cell lysates. Transfection data is kindly provided by Dr. B. Pierrat from the Novartis Institute for Biomedical Research (Basel, Switzerland). |
![]() |
Anti-USP14 Antibody (N-term) at 1:1000 dilution + HCT116 whole cell lysate
Lysates/proteins at 20 µg per lane. Secondary Predicted band size : 56 kDa Blocking/Dilution buffer: 5% NFDM/TBST. |
![]() |
Western blot analysis of anti-USP14 Pab (Cat. #P30066) in A2058 cell line lysates (35ug/lane). USP14 (arrow) was detected using the purified Pab. |
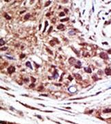
![]() |
Formalin-fixed and paraffin-embedded human cancer tissue reacted with the primary antibody, which was peroxidase-conjugated to the secondary antibody, followed by AEC staining. This data demonstrates the use of this antibody for immunohistochemistry; clinical relevance has not been evaluated. BC = breast carcinoma; HC = hepatocarcinoma. |
本公司的所有产品仅用于科学研究或者工业应用等非医疗目的,不可用于人类或动物的临床诊断或治疗,非药用,非食用。
暂无评论
本公司的所有产品仅用于科学研究或者工业应用等非医疗目的,不可用于人类或动物的临床诊断或治疗,非药用,非食用。
中文




发表回复