别名:UBPM; UBP-M应用:IHC
反应种属:Human
规格:50μl/100μl
| Description |
|---|
| This gene encodes a deubiquitinating enzyme that is phosphorylated at the onset of mitosis and then dephosphorylated at the metaphase/anaphase transition. It can deubiquitinate H2A, one of two major ubiquitinated proteins of chromatin, in vitro and a mutant form of the protein was shown to block cell division. Alternate transcriptional splice variants, encoding different isoforms, have been characterized. |
| Specification | |
|---|---|
| Aliases | UBPM; UBP-M |
| Swissprot | Q9Y5T5 |
| Host/Isotype | Rabbit IgG |
| Storage | Store at 4°C short term. Aliquot and store at -20°C long term. Avoid freeze/thaw cycles. |
| Species Reactivity | Human |
| Immunogen | Synthetic peptide of human USP16 |
| Formulation | pH7.4 PBS, 0.05% NaN3, 40% Glycerol |
| Application | |
|---|---|
| IHC | 1/30-1/150 |
| ELISA | 1/5000-1/10000 |
![]() |
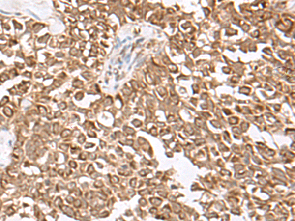
The image is immunohistochemistry of paraffin-embedded Human gastric cancer tissue using P06478(USP16 Antibody) at dilution 1/25. (Original magnification: ×200) |
![]() |
The image is immunohistochemistry of paraffin-embedded Human ovarian cancer tissue using P06478(USP16 Antibody) at dilution 1/25. (Original magnification: ×200) |
本公司的所有产品仅用于科学研究或者工业应用等非医疗目的,不可用于人类或动物的临床诊断或治疗,非药用,非食用。
暂无评论
本公司的所有产品仅用于科学研究或者工业应用等非医疗目的,不可用于人类或动物的临床诊断或治疗,非药用,非食用。
中文


发表回复