别名:Ubiquitin carboxyl-terminal hydrolase 2, 41 kDa ubiquitin-specific protease, Deubiquitinating enzyme 2, Ubiquitin thioesterase 2, Ubiquitin-specific-processing protease 2, USP2, UBP41应用:WB,IHC
反应种属:Human, Mouse, Rat
规格:50μl/100μl
| Description |
|---|
| Modification of target proteins by ubiquitin participates in a wide array of biological functions. Proteins destined for degradation or processing via the 26 S proteasome are coupled to multiple copies of ubiquitin. However, attachment of ubiquitin or ubiquitin-related molecules may also result in changes in subcellular distribution or modification of protein activity. An additional level of ubiquitin regulation, deubiquitination, is catalyzed by proteases called deubiquitinating enzymes, which fall into four distinct families. Ubiquitin C-terminal hydrolases, ubiquitin-specific processing proteases (USPs),1 OTU-domain ubiquitin-aldehyde-binding proteins, and Jab1/Pad1/MPN-domain-containing metallo-enzymes. Among these four families, USPs represent the most widespread and represented deubiquitinating enzymes across evolution. USPs tend to release ubiquitin from a conjugated protein. They display similar catalytic domains containing conserved Cys and His boxes but divergent N-terminal and occasionally C-terminal extensions, which are thought to function in substrate recognition, subcellular localization, and protein-protein interactions. |
| Specification | |
|---|---|
| Aliases | Ubiquitin carboxyl-terminal hydrolase 2, 41 kDa ubiquitin-specific protease, Deubiquitinating enzyme 2, Ubiquitin thioesterase 2, Ubiquitin-specific-processing protease 2, USP2, UBP41 |
| Entrez GeneID | 9099 |
| Swissprot | O75604 |
| WB Predicted band size | 68.1kDa |
| Host/Isotype | Rabbit IgG |
| Storage | Store at 4°C short term. Aliquot and store at -20°C long term. Avoid freeze/thaw cycles. |
| Species Reactivity | Human, Mouse, Rat |
| Immunogen | This USP2 antibody is generated from rabbits immunized with a KLH conjugated synthetic peptide between 71-101 amino acids from the N-terminal region of human USP2. |
| Formulation | Purified polyclonal antibody supplied in PBS with 0.05% sodium azide. This antibody is prepared by Saturated Ammonium Sulfate (SAS) precipitation followed by dialysis against PBS. |
| Application | |
|---|---|
| WB | 1/1000 |
| IHC | 1/100-1/500 |
![]() |
Western blot analysis of lysate from R. heart cell line, using USP2 Antibody (T22)(Cat. #P32858). P32858 was diluted at 1:1000. A goat anti-rabbit IgG H&L(HRP) at 1:10000 dilution was used as the secondary antibody. Lysate at 20ug. |
![]() |
Western blot analysis of USP2 Antibody (N-term) (Cat. #P32858) in HL60 cell line lysates (35ug/lane). USP2 (arrow) was detected using the purified Pab. |
![]() |
Western blot analysis of USP2 (arrow) using rabbit polyclonal USP2 Antibody (T22) (Cat. #P32858). 293 cell lysates (2 ug/lane) either nontransfected (Lane 1) or transiently transfected (Lane 2) with the USP2 gene. |
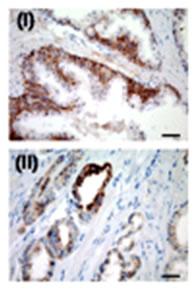
![]() |
IHC for USP2a in a formalin-fixed, paraffin-embedded human prostate sample. Cytoplasmic positive immunostaining was detected in tumor glands (ii), whereas in normal prostatic epithelium, USP2a expression was restricted to the basal layer. |
本公司的所有产品仅用于科学研究或者工业应用等非医疗目的,不可用于人类或动物的临床诊断或治疗,非药用,非食用。
暂无评论
本公司的所有产品仅用于科学研究或者工业应用等非医疗目的,不可用于人类或动物的临床诊断或治疗,非药用,非食用。
中文




发表回复