别名:USP10; NY-REN-60应用:IHC
反应种属:Human
规格:50μl/100μl
| Description |
|---|
| The ubiquitin (Ub) pathway involves three sequential enzymatic steps that facilitate the conjugation of Ub and Ub-like molecules to specific protein substrates. Through the use of a wide range of enzymes that can add or remove ubiquitin, the Ub pathway controls many intracellular processes such as signal transduction, transcriptional activation and cell cycle progression. USP32 (ubiquitin specific peptidase 32), also known as NY-REN-60, is a 1,604 amino acid protein that contains one DUSP domain and three EF-hand calcium binding domains. Localized to membranes in a lipid-anchored fashion and expressed in all normal tissues, USP32 catalyzes the conversion of a ubiquitin C-terminal thioester to a free ubiquitin and a thiol, a reaction that may influence several cellular processes. |
| Specification | |
|---|---|
| Aliases | USP10; NY-REN-60 |
| Swissprot | Q8NFA0 |
| Host/Isotype | Rabbit IgG |
| Storage | Store at 4°C short term. Aliquot and store at -20°C long term. Avoid freeze/thaw cycles. |
| Species Reactivity | Human |
| Immunogen | Synthetic peptide of human USP32 |
| Formulation | pH7.4 PBS, 0.05% NaN3, 40% Glycerol |
| Application | |
|---|---|
| IHC | 1/25-1/100 |
| ELISA | 1/5000-1/10000 |
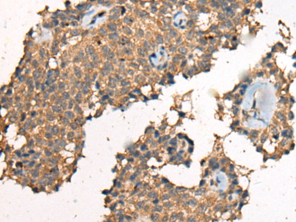
![]() |
The image is immunohistochemistry of paraffin-embedded Human colorectal cancer tissue using P12925(USP32 Antibody) at dilution 1/20. (Original magnification: ×200) |
![]() |
The image is immunohistochemistry of paraffin-embedded Human ovarian cancer tissue using P12925(USP32 Antibody) at dilution 1/20. (Original magnification: ×200) |
本公司的所有产品仅用于科学研究或者工业应用等非医疗目的,不可用于人类或动物的临床诊断或治疗,非药用,非食用。
暂无评论
本公司的所有产品仅用于科学研究或者工业应用等非医疗目的,不可用于人类或动物的临床诊断或治疗,非药用,非食用。
中文


发表回复