别名:Ubiquitin carboxyl-terminal hydrolase 4, Deubiquitinating enzyme 4, Ubiquitin thioesterase 4, Ubiquitin-specific-processing protease 4, Ubiquitous nuclear protein homolog, USP4, UNP, UNPH应用:WB,IHC
反应种属:Human
规格:50μl/100μl
| Description |
|---|
| Hydrolase that deubiquitinates target proteins such as the receptor ADORA2A and TRIM21. Deubiquitination of ADORA2A increases the amount of functional receptor at the cell surface. Plays a role in the regulation of quality control in the ER. |
| Specification | |
|---|---|
| Aliases | Ubiquitin carboxyl-terminal hydrolase 4, Deubiquitinating enzyme 4, Ubiquitin thioesterase 4, Ubiquitin-specific-processing protease 4, Ubiquitous nuclear protein homolog, USP4, UNP, UNPH |
| Entrez GeneID | 7375 |
| Swissprot | Q13107 |
| WB Predicted band size | 108.6kDa |
| Host/Isotype | Rabbit IgG |
| Storage | Store at 4°C short term. Aliquot and store at -20°C long term. Avoid freeze/thaw cycles. |
| Species Reactivity | Human |
| Immunogen | This USP4 antibody is generated from rabbits immunized with a KLH conjugated synthetic peptide between 1-30 amino acids from the N-terminal region of human USP4. |
| Formulation | Purified polyclonal antibody supplied in PBS with 0.05% sodium azide. This antibody is purified through a protein A column, followed by peptide affinity purification. |
| Application | |
|---|---|
| WB | 1/1000 |
| IHC | 1/100-1/500 |
![]() |
USP4 Antibody (N-term) (Cat. #P31506) western blot analysis in human uterine tumor tissue lysates (35ug/lane).This demonstrates the USP4 antibody detected the USP4 protein (arrow). |
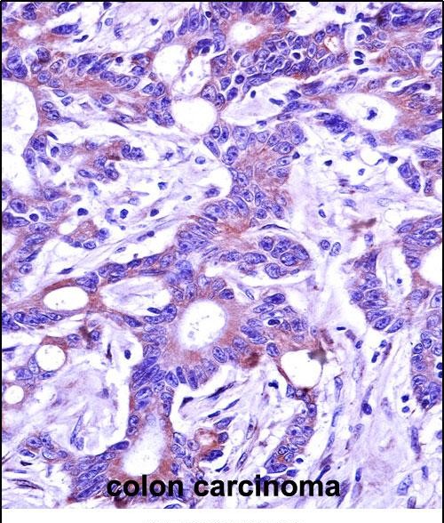
![]() |
USP4 Antibody (N-term) (P31506)immunohistochemistry analysis in formalin fixed and paraffin embedded human colon carcinoma followed by peroxidase conjugation of the secondary antibody and DAB staining.This data demonstrates the use of USP4 Antibody (N-term) for immunohistochemistry. Clinical relevance has not been evaluated. |
本公司的所有产品仅用于科学研究或者工业应用等非医疗目的,不可用于人类或动物的临床诊断或治疗,非药用,非食用。
暂无评论
本公司的所有产品仅用于科学研究或者工业应用等非医疗目的,不可用于人类或动物的临床诊断或治疗,非药用,非食用。
中文


发表回复