别名:UII, U-II, UCN2应用:IHC
反应种属:Human
规格:50μl/100μl
| Description |
|---|
| This gene encodes a mature peptide that is an active cyclic heptapeptide absolutely conserved from lamprey to human. The active peptide acts as a vasoconstrictor and is expressed only in brain tissue. Despite the gene family name similarity, this gene is not homologous to urocortin, a member of the sauvagine/corticotropin-releasing factor/urotensin I family. Most of the proprotein is cleaved to make the mature peptide. Transcript variants encoding different preproprotein isoforms have been described for this gene. |
| Specification | |
|---|---|
| Aliases | UII, U-II, UCN2 |
| Swissprot | O95399 |
| Host/Isotype | Rabbit IgG |
| Storage | Store at 4°C short term. Aliquot and store at -20°C long term. Avoid freeze/thaw cycles. |
| Species Reactivity | Human |
| Immunogen | Fusion protein of human UTS2 |
| Formulation | pH7.4 PBS, 0.05% NaN3, 40% Glycerol |
| Application | |
|---|---|
| IHC | 1/50-1/200 |
| ELISA | 1/500-1/10000 |
![]() |
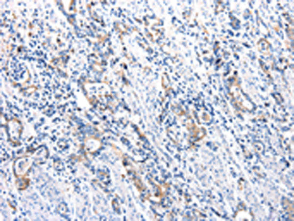
The image is immunohistochemistry of paraffin-embedded Human thyroid cancer tissue using P06964(UTS2 Antibody) at dilution 1/100. (Original magnification: ×200) |
![]() |
The image is immunohistochemistry of paraffin-embedded Human stomach cancer tissue using P06964(UTS2 Antibody) at dilution 1/100. (Original magnification: ×200) |
本公司的所有产品仅用于科学研究或者工业应用等非医疗目的,不可用于人类或动物的临床诊断或治疗,非药用,非食用。
暂无评论
本公司的所有产品仅用于科学研究或者工业应用等非医疗目的,不可用于人类或动物的临床诊断或治疗,非药用,非食用。
中文


发表回复