别名:Protein VAC14 homolog, Tax1-binding protein 2, VAC14, TAX1BP2, TRX应用:WB,IHC
反应种属:Human, Mouse, Rat
规格:50μl/100μl
| Description |
|---|
| The PI(3,5)P2 regulatory complex regulates both the synthesis and turnover of phosphatidylinositol 3,5-bisphosphate (PtdIns(3,5)P2). Acts as a positive activator of PIKfyve kinase activity. Also required to maintain normal levels of phosphatidylinositol 3-phosphate (PtdIns(3)P) and phosphatidylinositol 5-phosphate (PtdIns(5)P). Plays a role in the biogenesis of endosome carrier vesicles (ECV) / multivesicular bodies (MVB) transport intermediates from early endosomes. |
| Specification | |
|---|---|
| Aliases | Protein VAC14 homolog, Tax1-binding protein 2, VAC14, TAX1BP2, TRX |
| Entrez GeneID | 55697 |
| Swissprot | Q08AM6 |
| WB Predicted band size | 88.0kDa |
| Host/Isotype | Rabbit IgG |
| Storage | Store at 4°C short term. Aliquot and store at -20°C long term. Avoid freeze/thaw cycles. |
| Species Reactivity | Human, Mouse, Rat |
| Immunogen | This VAC14 antibody is generated from a rabbit immunized with a KLH conjugated synthetic peptide between 125-159 amino acids from human VAC14. |
| Application | |
|---|---|
| WB | 1/2000 |
| IHC | 1/100-1/500 |
![]() |
Anti-VAC14 Antibody (N-Term) at 1:2000 dilution + human spleen lysate
Lysates/proteins at 20 µg per lane. Secondary Predicted band size : 88 kDa Blocking/Dilution buffer: 5% NFDM/TBST. |
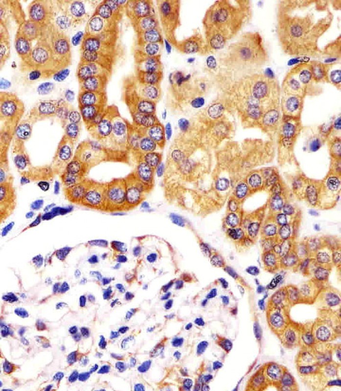
![]() |
P33411 staining VAC14 in human kidney tissue sections by Immunohistochemistry (IHC-P – paraformaldehyde-fixed, paraffin-embedded sections). Tissue was fixed with formaldehyde and blocked with 3% BSA for 0. 5 hour at room temperature; antigen retrieval was by heat mediation with a citrate buffer (pH6). Samples were incubated with primary antibody (1/25) for 1 hours at 37°C. A undiluted biotinylated goat polyvalent antibody was used as the secondary antibody. |
本公司的所有产品仅用于科学研究或者工业应用等非医疗目的,不可用于人类或动物的临床诊断或治疗,非药用,非食用。
暂无评论
本公司的所有产品仅用于科学研究或者工业应用等非医疗目的,不可用于人类或动物的临床诊断或治疗,非药用,非食用。
中文


发表回复