别名:Vesicle-associated membrane protein 8, VAMP-8, Endobrevin, EDB, VAMP8应用:WB,IHC
反应种属:Human, Mouse, Rat
规格:50μl/100μl
| Description |
|---|
| Involved in the targeting and/or fusion of transport vesicles to their target membrane. Involved for dense-granule secretion in platelets. Plays a role in regulated enzyme secretion in pancreatic acinar cells. Involved in the abscission of the midbody during cell division, which leads to completely separate daughter cells. Involved in the homotypic fusion of early and late endosomes (By similarity). |
| Specification | |
|---|---|
| Aliases | Vesicle-associated membrane protein 8, VAMP-8, Endobrevin, EDB, VAMP8 |
| Entrez GeneID | 8673 |
| Swissprot | Q9BV40 |
| WB Predicted band size | 11.4kDa |
| Host/Isotype | Rabbit IgG |
| Storage | Store at 4°C short term. Aliquot and store at -20°C long term. Avoid freeze/thaw cycles. |
| Species Reactivity | Human, Mouse, Rat |
| Immunogen | This VAMP8 antibody is generated from rabbits immunized with a KLH conjugated synthetic peptide between 1-30 amino acids from the N-terminal region of human VAMP8. |
| Formulation | Purified polyclonal antibody supplied in PBS with 0.05% sodium azide. This antibody is purified through a protein A column, followed by peptide affinity purification. |
| Application | |
|---|---|
| WB | 1/1000 |
| IHC | 1/100-1/500 |
![]() |
VAMP8 Antibody (N-term) (Cat. #P32545) western blot analysis in Hela,293T cell line lysates (35ug/lane).This demonstrates the VAMP8 antibody detected the VAMP8 protein (arrow). |
![]() |
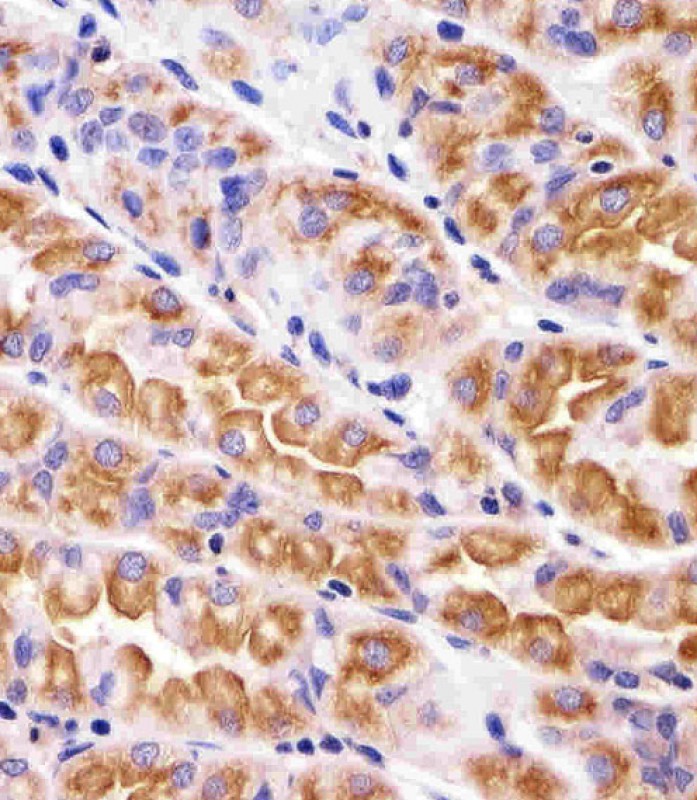
Immunohistochemical analysis of paraffin-embedded H. stomach section using VAMP8 Antibody (N-term)(Cat#P32545). P32545 was diluted at 1:25 dilution. A undiluted biotinylated goat polyvalent antibody was used as the secondary, followed by DAB staining. |
![]() |
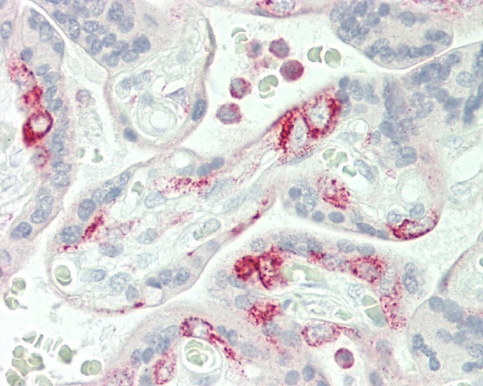
Formalin-fixed and paraffin-embedded H.placenta tissue reacted with VAMP8 Antibody (N-term) (Cat#P32545). |
![]() |
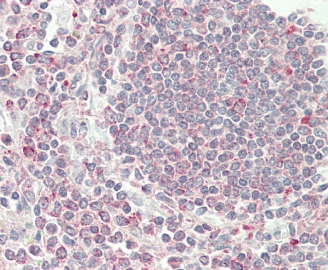
Formalin-fixed and paraffin-embedded H.spleen tissue reacted with VAMP8 Antibody (N-term) (Cat#P32545). |
本公司的所有产品仅用于科学研究或者工业应用等非医疗目的,不可用于人类或动物的临床诊断或治疗,非药用,非食用。
暂无评论
本公司的所有产品仅用于科学研究或者工业应用等非医疗目的,不可用于人类或动物的临床诊断或治疗,非药用,非食用。
中文




发表回复