别名:VCX1; VCXB1; VCX-B1; VCX10R; VCX-10r应用:IHC
反应种属:Human
规格:50μl/100μl
| Description |
|---|
| This gene belongs to the VCX/Y gene family, which has multiple members on both X and Y chromosomes, and all are expressed exclusively in male germ cells. The X-linked members are clustered on chromosome Xp22 and Y-linked members are two identical copies of the gene within a palindromic region on Yq11. The family members share a high degree of sequence identity, with the exception that a 30-bp unit is tandemly repeated in X-linked members but occurs only once in Y-linked members. The VCX gene cluster is polymorphic in terms of copy number; different individuals may have a different number of VCX genes. VCX/Y genes encode small and highly charged proteins of unknown function. The presence of a putative bipartite nuclear localization signal suggests that VCX/Y members are nuclear proteins. This gene contains 10 repeats of the 30-bp unit. |
| Specification | |
|---|---|
| Aliases | VCX1; VCXB1; VCX-B1; VCX10R; VCX-10r |
| Swissprot | Q9H320 |
| Host/Isotype | Rabbit IgG |
| Storage | Store at 4°C short term. Aliquot and store at -20°C long term. Avoid freeze/thaw cycles. |
| Species Reactivity | Human |
| Immunogen | Synthetic peptide of human VCX |
| Formulation | pH7.4 PBS, 0.05% NaN3, 40% Glycerol |
| Application | |
|---|---|
| IHC | 1/20-1/100 |
| ELISA | 1/5000-1/10000 |
![]() |
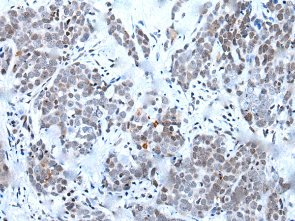
The image is immunohistochemistry of paraffin-embedded Human colorectal cancer tissue using P12894(VCX Antibody) at dilution 1/25. (Original magnification: ×200) |
![]() |
The image is immunohistochemistry of paraffin-embedded Human thyroid cancer tissue using P12894(VCX Antibody) at dilution 1/25. (Original magnification: ×200) |
本公司的所有产品仅用于科学研究或者工业应用等非医疗目的,不可用于人类或动物的临床诊断或治疗,非药用,非食用。
暂无评论
本公司的所有产品仅用于科学研究或者工业应用等非医疗目的,不可用于人类或动物的临床诊断或治疗,非药用,非食用。
中文


发表回复