别名:VDAC1; PORIN; PORIN-31-HL应用:WB,IHC
反应种属:Human,Mouse,Rat
规格:50μl/100μl
| Description |
|---|
| Voltage-dependent anion channel (VDAC), ubiquitously expressed and located in the outer mitochondrial membrane, is generally thought to be the primary means by which metabolites diffuse in and out of the mitochondria. In addition, this channel plays a role in apoptotic signaling. The change in mitochondrial permeability characteristic of apoptosis is mediated by Bcl-2 family proteins, which bind to VDAC, altering the channel kinetics. |
| Specification | |
|---|---|
| Aliases | VDAC1; PORIN; PORIN-31-HL |
| Entrez GeneID | 7416 |
| Swissprot | P21796 |
| WB Predicted band size | Calculated MW: 31 kDa; Observed MW: 31 kDa |
| Host/Isotype | Rabbit IgG |
| Storage | Store at 4°C short term. Aliquot and store at -20°C long term. Avoid freeze/thaw cycles. |
| Species Reactivity | Human,Mouse,Rat |
| Immunogen | A synthesized peptide derived from human VDAC1 |
| Formulation | Rabbit IgG in phosphate buffered saline , pH 7.4, 150mM NaCl, 0.02% sodium azide and 50% glycerol. |
| Application | |
|---|---|
| WB | 1/500-1/1000 |
| IHC | 1/50-1/100 |
![]() |
Western blot analysis of Calreticulin in (1) HepG2 lysates; (2) Jurkat lysates using VDAC1 antibody. |
![]() |
Western blot analysis of VDAC1 in C2C12, THP-1, 3T3, Jurakt and Hela lysates using VDAC1 antibody |
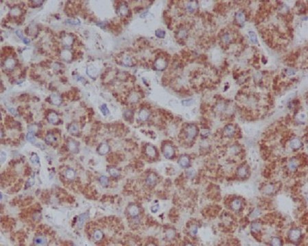
![]() |
Immunohistochemistry analysis of paraffin-embedded Human liver using VDAC1 antibody.High-pressure and temperature Sodium Citrate pH 6.0 was used for antigen retrieval. |
本公司的所有产品仅用于科学研究或者工业应用等非医疗目的,不可用于人类或动物的临床诊断或治疗,非药用,非食用。
暂无评论
本公司的所有产品仅用于科学研究或者工业应用等非医疗目的,不可用于人类或动物的临床诊断或治疗,非药用,非食用。
中文



发表回复