别名:KDR; FLK1; VEGFR2; Vascular endothelial growth factor receptor 2; VEGFR-2; Fetal liver kinase 1; FLK-1; Kinase insert domain receptor; KDR; Protein-tyrosine kinase receptor flk-1; CD antigen CD309应用:WB,IHC,ICC
反应种属:Human,Mouse
规格:50μl/100μl
| Description |
|---|
| VEGFR-2 is a receptor tyrosine kinase of the VEGFR family. High affinity receptor for VEGF and VEGF-C. Ligand binding induces autophosphorylation and activation. Activated receptor recruits proteins including Shc, GRB2, PI3K, Nck, SHP-1 and SHP-2. |
| Specification | |
|---|---|
| Aliases | KDR; FLK1; VEGFR2; Vascular endothelial growth factor receptor 2; VEGFR-2; Fetal liver kinase 1; FLK-1; Kinase insert domain receptor; KDR; Protein-tyrosine kinase receptor flk-1; CD antigen CD309 |
| Entrez GeneID | 3791 |
| Swissprot | P35968 |
| WB Predicted band size | Calculated MW: 152 kDa; Observed MW: 210,230 kDa |
| Host/Isotype | Rabbit IgG |
| Storage | Store at 4°C short term. Aliquot and store at -20°C long term. Avoid freeze/thaw cycles. |
| Species Reactivity | Human,Mouse |
| Immunogen | The antiserum was produced against synthesized peptide derived from human VEGFR2. AA range:917-966 |
| Formulation | Liquid in PBS containing 50% glycerol, 0.5% BSA and 0.02% sodium azide, pH 7.3. |
| Application | |
|---|---|
| WB | 1/500-1/1000 |
| IHC | 1/50-1/100 |
| ICC | 1/50-1/200 |
| ELISA | 1/10000 |
![]() |
Western blot analysis of VEGF Receptor 2 in Hela lysates using VEGF Receptor 2 antibody. |
![]() |
Immunofluorescence analysis of VEGF Receptor 2 in rat lung using Flk1 antibody(red),and DAPI (blue). |
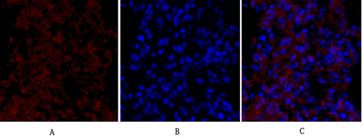
![]() |
Immunofluorescence analysis of VEGF Receptor 2 in mouse kidney using VEGF Receptor 2 antibody(red) ,and DAPI (blue). |
![]() |
Immunohistochemistry analysis of paraffin-embedded rat spinalcord using Flk1 antibody.High-pressure and temperature Sodium Citrate pH 6.0 was used for antigen retrieval. Sample with blocking peptide on the right. |
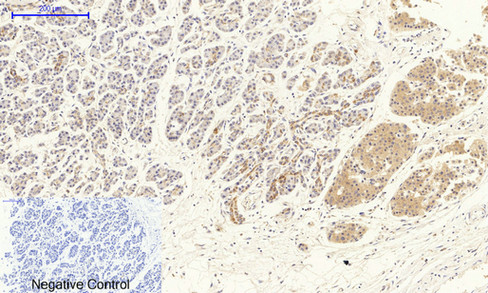
![]() |
Immunohistochemistry analysis of paraffin-embedded Human stomach cancer using Flk1 antibody. High-pressure and temperature Sodium Citrate pH 6.0 was used for antigen retrieval.Negative control was used by secondary antibody only. |
本公司的所有产品仅用于科学研究或者工业应用等非医疗目的,不可用于人类或动物的临床诊断或治疗,非药用,非食用。
暂无评论
本公司的所有产品仅用于科学研究或者工业应用等非医疗目的,不可用于人类或动物的临床诊断或治疗,非药用,非食用。
中文





发表回复