别名:VIP peptides, Intestinal peptide PHV-42, Peptide histidine valine 42, Intestinal peptide PHM-27, Peptide histidine methioninamide 27, Vasoactive intestinal peptide, VIP, Vasoactive intestinal polypeptide, VIP应用:WB,IHC,FCM
反应种属:Human
规格:50μl/100μl
| Description |
|---|
| VIP belongs to the glucagon family. It stimulates myocardial contractility, causes vasodilation, increases glycogenolysis, lowers arterial blood pressure and relaxes the smooth muscle of trachea, stomach and gall bladder. |
| Specification | |
|---|---|
| Aliases | VIP peptides, Intestinal peptide PHV-42, Peptide histidine valine 42, Intestinal peptide PHM-27, Peptide histidine methioninamide 27, Vasoactive intestinal peptide, VIP, Vasoactive intestinal polypeptide, VIP |
| Entrez GeneID | 7432 |
| Swissprot | P01282 |
| WB Predicted band size | 19.2kDa |
| Host/Isotype | Rabbit IgG |
| Storage | Store at 4°C short term. Aliquot and store at -20°C long term. Avoid freeze/thaw cycles. |
| Species Reactivity | Human |
| Immunogen | This VIP antibody is generated from rabbits immunized with a KLH conjugated synthetic peptide between 139-167 amino acids from the C-terminal region of human VIP. |
| Formulation | Purified polyclonal antibody supplied in PBS with 0.05% sodium azide. This antibody is prepared by Saturated Ammonium Sulfate (SAS) precipitation followed by dialysis against PBS. |
| Application | |
|---|---|
| WB | 1/1000 |
| IHC | 1/100-1/500 |
| FCM | 1/10-1/50 |
![]() |
Western blot analysis of VIP antibody (C-term) (Cat. #P30377) in Jurkat cell line lysates (35ug/lane). VIP (arrow) was detected using the purified Pab. |
![]() |
Flow cytometric analysis of jurkat cells using VIP Antibody (C-term)(bottom histogram) compared to a negative control cell (top histogram). FITC-conjugated goat-anti-rabbit secondary antibodies were used for the analysis. |
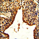
![]() |
Formalin-fixed and paraffin-embedded human prostate carcinoma with VIP Antibody (C-term), which was peroxidase-conjugated to the secondary antibody, followed by DAB staining. This data demonstrates the use of this antibody for immunohistochemistry; clinical relevance has not been evaluated. |
本公司的所有产品仅用于科学研究或者工业应用等非医疗目的,不可用于人类或动物的临床诊断或治疗,非药用,非食用。
暂无评论
本公司的所有产品仅用于科学研究或者工业应用等非医疗目的,不可用于人类或动物的临床诊断或治疗,非药用,非食用。
中文



发表回复