别名:GPA34; dJ889N15.1; 1700062D20Rik应用:IHC
反应种属:Human, Mouse, Rat
规格:50μl/100μl
| Description |
|---|
| This gene encodes a member of the junctional adhesion molecule (JAM) family. The encoded protein contains multiple glycosylation sites at the N-terminal region, and multiple phosphorylation sites and glutamic acid/proline (EP) repeats at the C-terminal region. The gene is expressed in normal stomach and testis, as well as in gastric, esophageal and ovarian cancers. Alternatively spliced transcript variants encoding different isoforms have been found for this gene. |
| Specification | |
|---|---|
| Aliases | GPA34; dJ889N15.1; 1700062D20Rik |
| Swissprot | Q86XK7 |
| Host/Isotype | Rabbit IgG |
| Storage | Store at 4°C short term. Aliquot and store at -20°C long term. Avoid freeze/thaw cycles. |
| Species Reactivity | Human, Mouse, Rat |
| Immunogen | Synthetic peptide of human VSIG1 |
| Formulation | pH7.4 PBS, 0.05% NaN3, 40% Glycerol |
| Application | |
|---|---|
| IHC | 1/20-1/100 |
| ELISA | 1/5000-1/10000 |
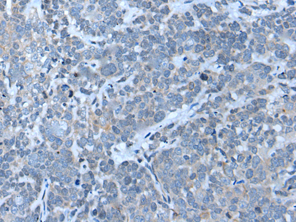
![]() |
The image is immunohistochemistry of paraffin-embedded Human ovarian cancer tissue using P12902(VSIG1 Antibody) at dilution 1/35. (Original magnification: ×200) |
![]() |
The image is immunohistochemistry of paraffin-embedded Human thyroid cancer tissue using P12902(VSIG1 Antibody) at dilution 1/35. (Original magnification: ×200) |
本公司的所有产品仅用于科学研究或者工业应用等非医疗目的,不可用于人类或动物的临床诊断或治疗,非药用,非食用。
暂无评论
本公司的所有产品仅用于科学研究或者工业应用等非医疗目的,不可用于人类或动物的临床诊断或治疗,非药用,非食用。
中文


发表回复