别名:Visinin-like protein 1, VILIP, VLP-1, Hippocalcin-like protein 3, HLP3, VSNL1, VISL1应用:WB,IHC,FCM
反应种属:Human, Mouse
规格:50μl/100μl
| Description |
|---|
| This gene is a member of the visinin/recoverin subfamily of neuronal calcium sensor proteins. The encoded protein is strongly expressed in granule cells of the cerebellum where it associates with membranes in a calcium-dependent manner and modulates intracellular signaling pathways of the central nervous system by directly or indirectly regulating the activity of adenylyl cyclase. Alternatively spliced transcript variants have been observed, but their full-length nature has not been determined. |
| Specification | |
|---|---|
| Aliases | Visinin-like protein 1, VILIP, VLP-1, Hippocalcin-like protein 3, HLP3, VSNL1, VISL1 |
| Entrez GeneID | 7447 |
| Swissprot | P62760 |
| WB Predicted band size | 22.1kDa |
| Host/Isotype | Rabbit IgG |
| Storage | Store at 4°C short term. Aliquot and store at -20°C long term. Avoid freeze/thaw cycles. |
| Species Reactivity | Human, Mouse |
| Immunogen | This VSNL1 antibody is generated from rabbits immunized with a KLH conjugated synthetic peptide between 47-75 amino acids from the Central region of human VSNL1. |
| Formulation | Purified polyclonal antibody supplied in PBS with 0.05% sodium azide. This antibody is purified through a protein A column, followed by peptide affinity purification. |
| Application | |
|---|---|
| WB | 1/1000 |
| IHC | 1/100-1/500 |
| FCM | 1/10-1/50 |
![]() |
Western blot analysis of VSNL1 (arrow) using rabbit polyclonal VSNL1 Antibody (Center) (Cat. #P31052). 293 cell lysates (2 ug/lane) either nontransfected (Lane 1) or transiently transfected (Lane 2) with the VSNL1 gene. |
![]() |
VSNL1 Antibody (Center) (Cat. #P31052) western blot analysis in mouse heart tissue lysates (35ug/lane).This demonstrates the VSNL1 antibody detected the VSNL1 protein (arrow). |
![]() |
VSNL1 Antibody (Center) (Cat. #P31052) flow cytometric analysis of 293 cells (right histogram) compared to a negative control cell (left histogram).FITC-conjugated goat-anti-rabbit secondary antibodies were used for the analysis. |
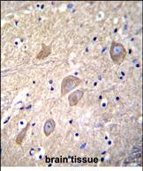
![]() |
VSNL1 Antibody (Center) (Cat. #P31052)immunohistochemistry analysis in formalin fixed and paraffin embedded human brain tissue followed by peroxidase conjugation of the secondary antibody and DAB staining.This data demonstrates the use of VSNL1 Antibody (Center) for immunohistochemistry. Clinical relevance has not been evaluated. |
本公司的所有产品仅用于科学研究或者工业应用等非医疗目的,不可用于人类或动物的临床诊断或治疗,非药用,非食用。
暂无评论
本公司的所有产品仅用于科学研究或者工业应用等非医疗目的,不可用于人类或动物的临床诊断或治疗,非药用,非食用。
中文




发表回复