别名:FOE; WAPAL; KIAA0261应用:IHC
反应种属:Human, Mouse
规格:50μl/100μl
| Description |
|---|
| WAPL (wings apart-like), also known as WAPAL or FOE, is a 1,190 amino acid protein that contains one WAPL domain and is expressed as two alternatively spliced isoforms, one of which localizes to the nucleus. Expressed in an isoform-dependent manner in heart, skeletal muscle and uterine cervix tumor tissue, WAPL is involved in sister-chromatid adhesion and overall cell growth, specifically playing a role in the development and metastasis of cancerous tissue. The gene encoding WAPL maps to human chromosome 10, which houses over 1,200 genes and comprises nearly 4.5% of the human genome. Defects in some of the genes that map to chromosome 10 are associated with Charcot-Marie Tooth disease, Jackson-Weiss syndrome, Usher syndrome, nonsyndromatic deafness, Wolman’s syndrome, Cowden syndrome, multiple endocrine neoplasia type 2 and porphyria. |
| Specification | |
|---|---|
| Aliases | FOE; WAPAL; KIAA0261 |
| Swissprot | Q7Z5K2 |
| Host/Isotype | Rabbit IgG |
| Storage | Store at 4°C short term. Aliquot and store at -20°C long term. Avoid freeze/thaw cycles. |
| Species Reactivity | Human, Mouse |
| Immunogen | Synthetic peptide of human WAPL |
| Formulation | pH7.4 PBS, 0.05% NaN3, 40% Glycerol |
| Application | |
|---|---|
| IHC | 1/20-1/100 |
| ELISA | 1/500-1/1000 |
![]() |
The image is immunohistochemistry of paraffin-embedded Human brain tissue using P05513(WAPL Antibody) at dilution 1/35. (Original magnification: ×200) |
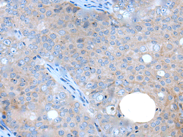
![]() |
The image is immunohistochemistry of paraffin-embedded Human ovarian cancer tissue using P05513(WAPL Antibody) at dilution 1/35. (Original magnification: ×200) |
本公司的所有产品仅用于科学研究或者工业应用等非医疗目的,不可用于人类或动物的临床诊断或治疗,非药用,非食用。
暂无评论
本公司的所有产品仅用于科学研究或者工业应用等非医疗目的,不可用于人类或动物的临床诊断或治疗,非药用,非食用。
中文


发表回复