别名:WD repeat-containing protein 43, WDR43, KIAA0007, UTP5应用:WB,IHC,FCM
反应种属:Human
规格:50μl/100μl
| Description |
|---|
| The function of WDR43 remains unknown. |
| Specification | |
|---|---|
| Aliases | WD repeat-containing protein 43, WDR43, KIAA0007, UTP5 |
| Entrez GeneID | 23160 |
| Swissprot | Q15061 |
| WB Predicted band size | 74.9kDa |
| Host/Isotype | Rabbit IgG |
| Storage | Store at 4°C short term. Aliquot and store at -20°C long term. Avoid freeze/thaw cycles. |
| Species Reactivity | Human |
| Immunogen | This WDR43 antibody is generated from rabbits immunized with a KLH conjugated synthetic peptide between 636-665 amino acids from the C-terminal region of human WDR43. |
| Formulation | Purified polyclonal antibody supplied in PBS with 0.05% sodium azide. This antibody is purified through a protein A column, followed by peptide affinity purification. |
| Application | |
|---|---|
| WB | 1/1000 |
| IHC | 1/100-1/500 |
| FCM | 1/10-1/50 |
![]() |
WDR43 Antibody (C-term) (Cat.#P30688) western blot analysis in Jurkat,HepG2 cell line lysates (35ug/lane).This demonstrates the WDR43 antibody detected the WDR43 protein (arrow). |
![]() |
WDR43 Antibody (C-term) (Cat. #P30688) flow cytometric analysis of HepG2 cells (bottom histogram) compared to a negative control cell (top histogram).FITC-conjugated goat-anti-rabbit secondary antibodies were used for the analysis. |
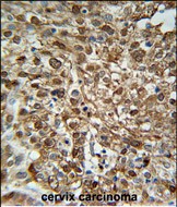
![]() |
WDR43 Antibody (C-term) (Cat. #P30688) immunohistochemistry analysis in formalin fixed and paraffin embedded human Cervix carcinoma followed by peroxidase conjugation of the secondary antibody and DAB staining. This data demonstrates the use of the WDR43 Antibody (C-term) for immunohistochemistry. Clinical relevance has not been evaluated. |
本公司的所有产品仅用于科学研究或者工业应用等非医疗目的,不可用于人类或动物的临床诊断或治疗,非药用,非食用。
暂无评论
本公司的所有产品仅用于科学研究或者工业应用等非医疗目的,不可用于人类或动物的临床诊断或治疗,非药用,非食用。
中文



发表回复