别名:WEE1A; WEE1hu应用:WB,IHC
反应种属:Human,Mouse,Rat
规格:50μl/100μl
| Description |
|---|
| This gene encodes a nuclear protein, which is a tyrosine kinase belonging to the Ser/Thr family of protein kinases. This protein catalyzes the inhibitory tyrosine phosphorylation of CDC2/cyclin B kinase, and appears to coordinate the transition between DNA replication and mitosis by protecting the nucleus from cytoplasmically activated CDC2 kinase. |
| Specification | |
|---|---|
| Aliases | WEE1A; WEE1hu |
| Entrez GeneID | 7465; |
| Swissprot | P30291 |
| WB Predicted band size | 72kDa |
| Storage | Store at 4°C short term. Aliquot and store at -20°C long term. Avoid freeze/thaw cycles. |
| Species Reactivity | Human,Mouse,Rat |
| Immunogen | Synthetic peptide of human WEE1 |
| Formulation | Rabbit IgG in pH7.4 PBS, 0.05% NaN3, 40% Glycerol. |
| Application | |
|---|---|
| WB | 1/200-1/1000 |
| IHC | 1/ 20-100 |
![]() |
Gel: 6%SDS-PAGE Lysate: 40 μg, Lane: 293T cell lysate, Primary antibody:WEE1 antibody at dilution 1/200, Secondary antibody: Goat anti rabbit IgG at 1/8000 dilution, Exposure time: 1 second |
![]() |
The image on the left is immunohistochemistry of paraffin-embedded Human thyroid cancer tissue using WEE1 Antibody at dilution 1/25, on the right is treated with synthetic peptide. (Original magnification: x200) |
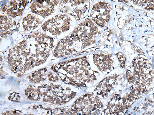
![]() |
The image on the left is immunohistochemistry of paraffin-embedded Human esophagus cancer tissue using WEE1 Antibody at dilution 1/25, on the right is treated with synthetic peptide. (Original magnification: x200) |
本公司的所有产品仅用于科学研究或者工业应用等非医疗目的,不可用于人类或动物的临床诊断或治疗,非药用,非食用。
暂无评论
本公司的所有产品仅用于科学研究或者工业应用等非医疗目的,不可用于人类或动物的临床诊断或治疗,非药用,非食用。
中文



发表回复