别名:PS20应用:IHC
反应种属:Human, Mouse
规格:50μl/100μl
| Description |
|---|
| This gene encodes a member of the WAP-type four disulfide core domain family. The WAP-type four-disulfide core domain contains eight cysteines forming four disulfide bonds at the core of the protein, and functions as a protease inhibitor in many family members. This gene is mapped to chromosome 16q24, an area of frequent loss of heterozygosity in cancers, including prostate, breast and hepatocellular cancers and Wilms’ tumor. This gene is downregulated in many cancer types and may be involved in the inhibition of cell proliferation. The encoded protein may also play a role in the susceptibility of certain CD4 memory T cells to human immunodeficiency virus infection. Alternative splicing results in multiple transcript variants. |
| Specification | |
|---|---|
| Aliases | PS20 |
| Swissprot | Q9HC57 |
| Host/Isotype | Rabbit IgG |
| Storage | Store at 4°C short term. Aliquot and store at -20°C long term. Avoid freeze/thaw cycles. |
| Species Reactivity | Human, Mouse |
| Immunogen | Synthetic peptide of human WFDC1 |
| Formulation | pH7.4 PBS, 0.05% NaN3, 40% Glycerol |
| Application | |
|---|---|
| IHC | 1/10-1/50 |
| ELISA | 1/1000-1/2000 |
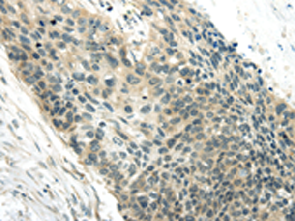
![]() |
The image is immunohistochemistry of paraffin-embedded Human liver cancer tissue using P12398(WFDC1 Antibody) at dilution 1/20. (Original magnification: ×200) |
![]() |
The image is immunohistochemistry of paraffin-embedded Human esophagus cancer tissue using P12398(WFDC1 Antibody) at dilution 1/20. (Original magnification: ×200) |
本公司的所有产品仅用于科学研究或者工业应用等非医疗目的,不可用于人类或动物的临床诊断或治疗,非药用,非食用。
暂无评论
本公司的所有产品仅用于科学研究或者工业应用等非医疗目的,不可用于人类或动物的临床诊断或治疗,非药用,非食用。
中文


发表回复