别名:KDP; PSK; p65; HSN2; HSAN2; PRKWNK1; PPP1R167应用:WB,IHC
反应种属:Human, Mouse, Rat
规格:50μl/100μl
| Description |
|---|
| This gene encodes a member of the WNK subfamily of serine/threonine protein kinases. The encoded protein may be a key regulator of blood pressure by controlling the transport of sodium and chloride ions. Mutations in this gene have been associated with pseudohypoaldosteronism type II and hereditary sensory neuropathy type II. Alternatively spliced transcript variants encoding different isoforms have been described but the full-length nature of all of them has yet to be determined. |
| Specification | |
|---|---|
| Aliases | KDP; PSK; p65; HSN2; HSAN2; PRKWNK1; PPP1R167 |
| Swissprot | Q9H4A3 |
| WB Predicted band size | 251 kDa |
| Host/Isotype | Rabbit IgG |
| Storage | Store at 4°C short term. Aliquot and store at -20°C long term. Avoid freeze/thaw cycles. |
| Species Reactivity | Human, Mouse, Rat |
| Immunogen | Synthetic peptide of human WNK1 |
| Formulation | pH7.4 PBS, 0.05% NaN3, 40% Glycerol |
| Application | |
|---|---|
| WB | 1/200-1/1000 |
| IHC | 1/10-1/50 |
| ELISA | 1/1000-1/2000 |
![]() |
Gel: 6%SDS-PAGE, Lysate: 40 μg, Lane: TM4 cells, Primary antibody: P05524(WNK1 Antibody) at dilution 1/200, Secondary antibody: Goat anti rabbit IgG at 1/8000 dilution, Exposure time: 2 minutes |
![]() |
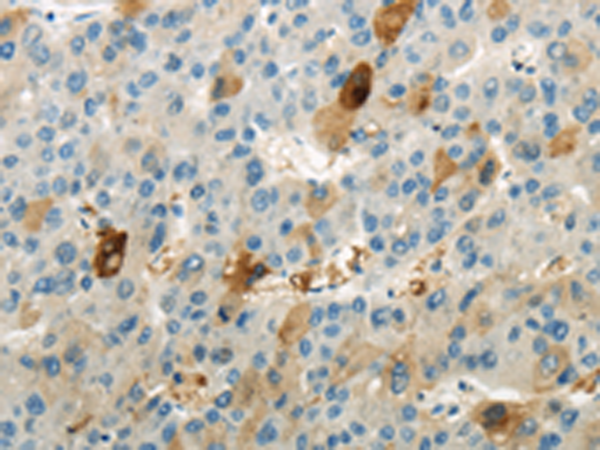
The image is immunohistochemistry of paraffin-embedded Human liver cancer tissue using P05524(WNK1 Antibody) at dilution 1/20. (Original magnification: ×200) |
![]() |
The image is immunohistochemistry of paraffin-embedded Human brain tissue using P05524(WNK1 Antibody) at dilution 1/20. (Original magnification: ×200) |
本公司的所有产品仅用于科学研究或者工业应用等非医疗目的,不可用于人类或动物的临床诊断或治疗,非药用,非食用。
暂无评论
本公司的所有产品仅用于科学研究或者工业应用等非医疗目的,不可用于人类或动物的临床诊断或治疗,非药用,非食用。
中文



发表回复