别名:PRKWNK3应用:WB,IHC
反应种属:Human, Mouse
规格:50μl/100μl
| Description |
|---|
| This gene encodes a protein belonging to the ‘with no lysine’ family of serine-threonine protein kinases. These family members lack the catalytic lysine in subdomain II, and instead have a conserved lysine in subdomain I. This family member functions as a positive regulator of the transcellular Ca2+ transport pathway, and it plays a role in the increase of cell survival in a caspase-3-dependent pathway. Alternative splicing results in multiple transcript variants. |
| Specification | |
|---|---|
| Aliases | PRKWNK3 |
| Swissprot | Q9BYP7 |
| WB Predicted band size | 198 kDa |
| Host/Isotype | Rabbit IgG |
| Storage | Store at 4°C short term. Aliquot and store at -20°C long term. Avoid freeze/thaw cycles. |
| Species Reactivity | Human, Mouse |
| Immunogen | Synthetic peptide of human WNK3 |
| Formulation | pH7.4 PBS, 0.05% NaN3, 40% Glycerol |
| Application | |
|---|---|
| WB | 1/200-1/1000 |
| IHC | 1/10-1/50 |
| ELISA | 1/1000-1/2000 |
![]() |
Gel: 6%SDS-PAGE, Lysate: 40 μg, Lane 1-2: MCF7 cells, 293T cells, Primary antibody: P05539(WNK3 Antibody) at dilution 1/200, Secondary antibody: Goat anti rabbit IgG at 1/8000 dilution, Exposure time: 3 minutes |
![]() |
The image is immunohistochemistry of paraffin-embedded Human thyroid cancer tissue using P05539(WNK3 Antibody) at dilution 1/20. (Original magnification: ×200) |
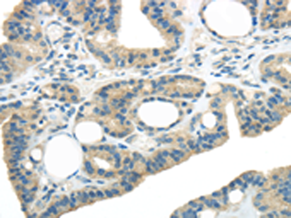
![]() |
The image is immunohistochemistry of paraffin-embedded Human prostate cancer tissue using P05539(WNK3 Antibody) at dilution 1/20. (Original magnification: ×200) |
本公司的所有产品仅用于科学研究或者工业应用等非医疗目的,不可用于人类或动物的临床诊断或治疗,非药用,非食用。
暂无评论
本公司的所有产品仅用于科学研究或者工业应用等非医疗目的,不可用于人类或动物的临床诊断或治疗,非药用,非食用。
中文



发表回复