别名:APP3; ICP55; NPHPL1应用:WB,IHC
反应种属:Human, Mouse, Rat
规格:50μl/100μl
| Description |
|---|
| The protein encoded by this gene belongs to the family of X-pro-aminopeptidases that utilize a metal cofactor, and remove the N-terminal amino acid from peptides with a proline residue in the penultimate position. This protein has been shown to localize to the mitochondria of renal cells, and have a role in ciliary function. Mutations in this gene are associated with nephronophthisis-like nephropathy-1. Alternatively spliced transcript variants encoding different isoforms have been noted for this gene, however, expression of some of these isoforms in vivo is not known. |
| Specification | |
|---|---|
| Aliases | APP3; ICP55; NPHPL1 |
| Swissprot | Q9NQH7 |
| WB Predicted band size | 57 kDa |
| Host/Isotype | Rabbit IgG |
| Storage | Store at 4°C short term. Aliquot and store at -20°C long term. Avoid freeze/thaw cycles. |
| Species Reactivity | Human, Mouse, Rat |
| Immunogen | Fusion protein of human XPNPEP3 |
| Formulation | pH7.4 PBS, 0.05% NaN3, 40% Glycerol |
| Application | |
|---|---|
| WB | 1/200-1/1000 |
| IHC | 1/30-1/150 |
| ELISA | 1/5000-1/10000 |
![]() |
Gel: 8%SDS-PAGE, Lysate: 40 μg, Lane 1-2: PC-3 cell and Human fetal liver tissue lysates, Primary antibody: P02767(XPNPEP3 Antibody) at dilution 1/250, Secondary antibody: Goat anti rabbit IgG at 1/8000 dilution, Exposure time: 30 seconds |
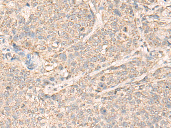
![]() |
The image is immunohistochemistry of paraffin-embedded Human cervical cancer tissue using P02767(XPNPEP3 Antibody) at dilution 1/20. (Original magnification: ×200) |
本公司的所有产品仅用于科学研究或者工业应用等非医疗目的,不可用于人类或动物的临床诊断或治疗,非药用,非食用。
暂无评论
本公司的所有产品仅用于科学研究或者工业应用等非医疗目的,不可用于人类或动物的临床诊断或治疗,非药用,非食用。
中文


发表回复