别名:45170应用:WB,IHC
反应种属:Human
规格:50μl/100μl
| Description |
|---|
| This gene encodes a member of the 5′-3′ exonuclease family. The encoded protein may be involved in replication-dependent histone mRNA degradation, and interacts directly with the enhancer of mRNA-decapping protein 4. In addition to mRNA metabolism, a similar protein in yeast has been implicated in a variety of nuclear and cytoplasmic functions, including homologous recombination, meiosis, telomere maintenance, and microtubule assembly. Mutations in this gene are associated with osteosarcoma, suggesting that the encoded protein may also play a role in bone formation. Alternative splicing results in multiple transcript variants. |
| Specification | |
|---|---|
| Aliases | 45170 |
| Entrez GeneID | 54464; |
| Swissprot | Q8IZH2 |
| WB Predicted band size | 194kDa |
| Storage | Store at 4°C short term. Aliquot and store at -20°C long term. Avoid freeze/thaw cycles. |
| Species Reactivity | Human |
| Immunogen | Synthetic peptide of human XRN1 |
| Formulation | Rabbit IgG in pH7.4 PBS, 0.05% NaN3, 40% Glycerol. |
| Application | |
|---|---|
| WB | 1/200-1/1000 |
| IHC | 110-50 |
![]() |
Gel: 6%SDS-PAGE Lysate: 40 μg, Lane 1-3: Hela拢卢231 and K562 cell lysates, Primary antibody:XRN1 antibody at dilution 1/250, Secondary antibody: Goat anti rabbit IgG at 1/8000 dilution, Exposure time: 2 minutes |
![]() |
The image on the left is immunohistochemistry of paraffin-embedded Human esophagus cancer tissue using XRN1 Antibody at dilution 1/25, on the right is treated with synthetic peptide. (Original magnification: x200) |
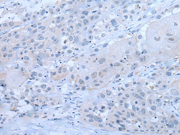
![]() |
The image on the left is immunohistochemistry of paraffin-embedded Human lung cancer tissue using XRN1 Antibody at dilution 1/25, on the right is treated with synthetic peptide. (Original magnification: x200) |
本公司的所有产品仅用于科学研究或者工业应用等非医疗目的,不可用于人类或动物的临床诊断或治疗,非药用,非食用。
暂无评论
本公司的所有产品仅用于科学研究或者工业应用等非医疗目的,不可用于人类或动物的临床诊断或治疗,非药用,非食用。
中文



发表回复