别名:dCTP pyrophosphatase 1, Deoxycytidine-triphosphatase 1, dCTPase 1, RS21C6, XTP3-transactivated gene A protein, DCTPP1, XTP3TPA应用:WB,IHC
反应种属:Human
规格:50μl/100μl
| Specification | |
|---|---|
| Aliases | dCTP pyrophosphatase 1, Deoxycytidine-triphosphatase 1, dCTPase 1, RS21C6, XTP3-transactivated gene A protein, DCTPP1, XTP3TPA |
| Entrez GeneID | 79077 |
| Swissprot | Q9H773 |
| WB Predicted band size | 18.7kDa |
| Host/Isotype | Rabbit IgG |
| Storage | Store at 4°C short term. Aliquot and store at -20°C long term. Avoid freeze/thaw cycles. |
| Species Reactivity | Human |
| Immunogen | This XTP3TPA antibody is generated from rabbits immunized with a KLH conjugated synthetic peptide between 12-40 amino acids from the N-terminal region of human XTP3TPA. |
| Formulation | Purified polyclonal antibody supplied in PBS with 0.05% sodium azide. This antibody is prepared by Saturated Ammonium Sulfate (SAS) precipitation followed by dialysis against PBS. |
| Application | |
|---|---|
| WB | 1/1000 |
| IHC | 1/100-1/500 |
![]() |
Western blot analysis of anti-XTP3TPA Antibody (N-term) (Cat.#P30332) in HepG2 cell line lysates (35ug/lane). XTP3TPA(arrow) was detected using the purified Pab. |
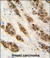
![]() |
Formalin-fixed and paraffin-embedded human breast carcinoma tissue reacted with XTP3TPA antibody (N-term), which was peroxidase-conjugated to the secondary antibody, followed by DAB staining. This data demonstrates the use of this antibody for immunohistochemistry; clinical relevance has not been evaluated. |
本公司的所有产品仅用于科学研究或者工业应用等非医疗目的,不可用于人类或动物的临床诊断或治疗,非药用,非食用。
暂无评论
本公司的所有产品仅用于科学研究或者工业应用等非医疗目的,不可用于人类或动物的临床诊断或治疗,非药用,非食用。
中文


发表回复