别名:YBX1; NSEP1; YB1; Nuclease-sensitive element-binding protein 1; CCAAT-binding transcription factor I subunit A; CBF-A; DNA-binding protein B; DBPB; Enhancer factor I subunit A; EFI-A; Y-box transcription factor; Y-box-binding protein 1; YB-应用:WB,IHC,ICC,FCM,IP
反应种属:Human,Mouse,Rat
规格:50μl/100μl
| Description |
|---|
| This gene encodes a highly conserved cold shock domain protein that has broad nucleic acid binding properties. The encoded protein functions as both a DNA and RNA binding protein and has been implicated in numerous cellular processes including regulation of transcription and translation, pre-mRNA splicing, DNA reparation and mRNA packaging. This protein is also a component of messenger ribonucleoprotein (mRNP) complexes and may have a role in microRNA processing. This protein can be secreted through non-classical pathways and functions as an extracellular mitogen. Aberrant expression of the gene is associated with cancer proliferation in numerous tissues. This gene may be a prognostic marker for poor outcome and drug resistance in certain cancers. Alternate splicing results in multiple transcript variants. Pseudogenes of this gene are found on multiple chromosomes. [provided by RefSeq, Sep 2015] |
| Specification | |
|---|---|
| Aliases | YBX1; NSEP1; YB1; Nuclease-sensitive element-binding protein 1; CCAAT-binding transcription factor I subunit A; CBF-A; DNA-binding protein B; DBPB; Enhancer factor I subunit A; EFI-A; Y-box transcription factor; Y-box-binding protein 1; YB- |
| Entrez GeneID | 4904 |
| Swissprot | P67809 |
| WB Predicted band size | Calculated MW: 36 kDa; Observed MW: 50 kDa |
| Host/Isotype | Rabbit IgG |
| Storage | Store at 4°C short term. Aliquot and store at -20°C long term. Avoid freeze/thaw cycles. |
| Species Reactivity | Human,Mouse,Rat |
| Immunogen | A synthesized peptide derived from human YB1 |
| Formulation | Rabbit IgG in phosphate buffered saline , pH 7.4, 150mM NaCl, 0.02% sodium azide and 50% glycerol. |
| Application | |
|---|---|
| IP | 1/20 |
| WB | 1/500-1/1000 |
| IHC | 1/50-1/100 |
| ICC | 1/50-1/200 |
| FCM | 1/50-1/100 |
![]() |
Western blot analysis of YB1 in HeLa lysates using YB1 antibody. |
![]() |
Immunofluorescence analysis of YB1 in MCF-7 using YB1 antibody. |
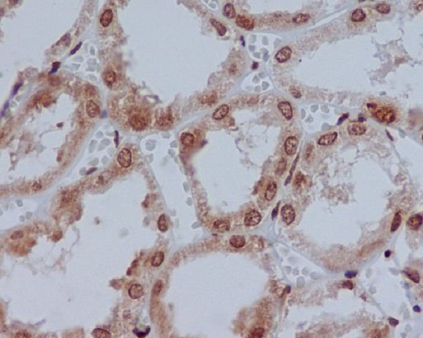
![]() |
Immunohistochemistry analysis of paraffin-embedded Human kidney using YB1 antibody.High-pressure and temperature Sodium Citrate pH 6.0 was used for antigen retrieval. |
本公司的所有产品仅用于科学研究或者工业应用等非医疗目的,不可用于人类或动物的临床诊断或治疗,非药用,非食用。
暂无评论
本公司的所有产品仅用于科学研究或者工业应用等非医疗目的,不可用于人类或动物的临床诊断或治疗,非药用,非食用。
中文



发表回复