别名:Protein YIPF5, Five-pass transmembrane protein localizing in the Golgi apparatus and the endoplasmic reticulum 5, Smooth muscle cell-associated protein 5, SMAP-5, YIP1 family member 5, YPT-interacting protein 1 A, YIPF5, FINGER5, YIP1A应用:WB,IHC
反应种属:Human, Mouse
规格:50μl/100μl
| Description |
|---|
| Plays a role in transport between endoplasmic reticulum and Golgi. |
| Specification | |
|---|---|
| Aliases | Protein YIPF5, Five-pass transmembrane protein localizing in the Golgi apparatus and the endoplasmic reticulum 5, Smooth muscle cell-associated protein 5, SMAP-5, YIP1 family member 5, YPT-interacting protein 1 A, YIPF5, FINGER5, YIP1A |
| Entrez GeneID | 81555 |
| Swissprot | Q969M3 |
| WB Predicted band size | 28.0kDa |
| Host/Isotype | Rabbit IgG |
| Storage | Store at 4°C short term. Aliquot and store at -20°C long term. Avoid freeze/thaw cycles. |
| Species Reactivity | Human, Mouse |
| Immunogen | This YIPF5 antibody is generated from rabbits immunized with a KLH conjugated synthetic peptide between 21-49 amino acids from the N-terminal region of human YIPF5. |
| Formulation | Purified polyclonal antibody supplied in PBS with 0.05% sodium azide. This antibody is purified through a protein A column, followed by peptide affinity purification. |
| Application | |
|---|---|
| WB | 1/1000 |
| IHC | 1/100-1/500 |
![]() |
Western blot analysis of YIPF5 Antibody (N-term) (Cat. #P30513) in MDA-MB231 cell line lysates (35ug/lane). YIPF5 (arrow) was detected using the purified Pab; |
![]() |
Western blot analysis of YIPF5 Antibody (N-term) (Cat. #P30513) in CHO cell line lysates (35ug/lane). YIPF5 (arrow) was detected using the purified Pab. |
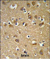
![]() |
YIPF5 Antibody (N-term) (Cat. #P30513) IHC analysis in formalin fixed and paraffin embedded brain tissue followed by peroxidase conjugation of the secondary antibody and DAB staining. This data demonstrates the use of the YIPF5 Antibody (N-term) for immunohistochemistry. Clinical relevance has not been evaluated. |
本公司的所有产品仅用于科学研究或者工业应用等非医疗目的,不可用于人类或动物的临床诊断或治疗,非药用,非食用。
暂无评论
本公司的所有产品仅用于科学研究或者工业应用等非医疗目的,不可用于人类或动物的临床诊断或治疗,非药用,非食用。
中文



发表回复