别名:CGI-127应用:IHC
反应种属:Human, Mouse
规格:50μl/100μl
| Description |
|---|
| YPEL5 (yippee-like 5), also known as CGI-127, is a 121 amino acid protein that may be involved in cell division-related function. During cell cycle progression, YPEL5 localizes to multiple subcellular regions. At interphase of mitosis, YPEL5 localizes to the nucleus and centrosome, then changes its location sequentially to the spindle poles, mitotic spindle and spindle midzone, and finally it is transferred to the midbody at cytokinesis. The function of YPEL5 during cell division is not yet fully understood. |
| Specification | |
|---|---|
| Aliases | CGI-127 |
| Swissprot | P62699 |
| Host/Isotype | Rabbit IgG |
| Storage | Store at 4°C short term. Aliquot and store at -20°C long term. Avoid freeze/thaw cycles. |
| Species Reactivity | Human, Mouse |
| Immunogen | Synthetic peptide of human YPEL5 |
| Formulation | pH7.4 PBS, 0.05% NaN3, 40% Glycerol |
| Application | |
|---|---|
| IHC | 1/10-1/50 |
| ELISA | 1/5000-1/10000 |
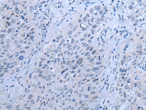
![]() |
The image is immunohistochemistry of paraffin-embedded Human thyroid cancer tissue using P12862(YPEL5 Antibody) at dilution 1/20. (Original magnification: ×200) |
![]() |
The image is immunohistochemistry of paraffin-embedded Human lung cancer tissue using P12862(YPEL5 Antibody) at dilution 1/20. (Original magnification: ×200) |
本公司的所有产品仅用于科学研究或者工业应用等非医疗目的,不可用于人类或动物的临床诊断或治疗,非药用,非食用。
暂无评论
本公司的所有产品仅用于科学研究或者工业应用等非医疗目的,不可用于人类或动物的临床诊断或治疗,非药用,非食用。
中文


发表回复