别名:1C5, HS1, 14-3-3应用:WB,IHC
反应种属:Human, Mouse, Rat
规格:50μl/100μl
| Description |
|---|
| This gene product belongs to the 14-3-3 family of proteins which mediate signal transduction by binding to phosphoserine-containing proteins. This highly conserved protein family is found in both plants and mammals, and this protein is 99% identical to the mouse and rat orthologs. This gene is upregulated in patients with amyotrophic lateral sclerosis. It contains in its 5′ UTR a 6 bp tandem repeat sequence which is polymorphic, however, there is no correlation between the repeat number and the disease. |
| Specification | |
|---|---|
| Aliases | 1C5, HS1, 14-3-3 |
| Swissprot | P27348 |
| WB Predicted band size | 28 kDa |
| Host/Isotype | Rabbit IgG |
| Storage | Store at 4°C short term. Aliquot and store at -20°C long term. Avoid freeze/thaw cycles. |
| Species Reactivity | Human, Mouse, Rat |
| Immunogen | Synthetic peptide of human YWHAQ |
| Formulation | pH7.4 PBS, 0.05% NaN3, 40% Glycerol |
| Application | |
|---|---|
| WB | 1/1000-1/5000 |
| IHC | 1/25-1/100 |
| ELISA | 1/2000-1/10000 |
![]() |
Gel: 10+12%SDS-PAGE, Lysate: 40 μg, Lane 1-4: Mouse brain tissue, A549 cells, human lymphoma tissue, hela cells, Primary antibody: P04133(YWHAQ Antibody) at dilution 1/950, Secondary antibody: Goat anti rabbit IgG at 1/8000 dilution, Exposure time: 1 minute |
![]() |
The image is immunohistochemistry of paraffin-embedded Human ovarian cancer tissue using P04133(YWHAQ Antibody) at dilution 1/50. (Original magnification: ×200) |
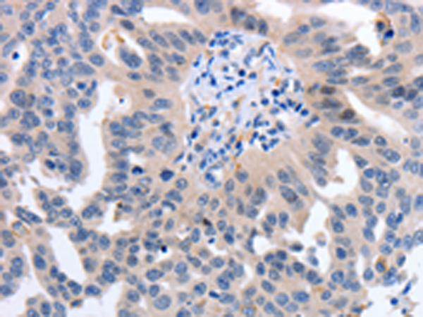
![]() |
The image is immunohistochemistry of paraffin-embedded Human lung cancer tissue using P04133(YWHAQ Antibody) at dilution 1/50. (Original magnification: ×200) |
本公司的所有产品仅用于科学研究或者工业应用等非医疗目的,不可用于人类或动物的临床诊断或治疗,非药用,非食用。
暂无评论
本公司的所有产品仅用于科学研究或者工业应用等非医疗目的,不可用于人类或动物的临床诊断或治疗,非药用,非食用。
中文



发表回复