别名:Zinc finger protein 385B, Zinc finger protein 533, ZNF385B, ZNF533应用:WB,IHC
反应种属:Human, Mouse
规格:50μl/100μl
| Description |
|---|
| ZNF385B contains 4 U1-type zinc fingers. ZNF385B is expressed in brain with a potential role in RNA maturation, stability, or transcription regulation. There are 5 known isoforms. |
| Specification | |
|---|---|
| Aliases | Zinc finger protein 385B, Zinc finger protein 533, ZNF385B, ZNF533 |
| Entrez GeneID | 151126 |
| Swissprot | Q569K4 |
| WB Predicted band size | 50.4kDa |
| Host/Isotype | Rabbit IgG |
| Storage | Store at 4°C short term. Aliquot and store at -20°C long term. Avoid freeze/thaw cycles. |
| Species Reactivity | Human, Mouse |
| Immunogen | This Z385B antibody is generated from rabbits immunized with a KLH conjugated synthetic peptide between 1-30 amino acids of human Z385B. |
| Formulation | Purified polyclonal antibody supplied in PBS with 0.05% sodium azide. This antibody is purified through a protein A column, followed by peptide affinity purification. |
| Application | |
|---|---|
| WB | 1/1000 |
| IHC | 1/100-1/500 |
![]() |
Z385B Antibody (N-term) (Cat. #P30714) western blot analysis in mouse liver tissue lysates (15ug/lane).This demonstrates the Z385B antibody detected the Z385B protein (arrow). |
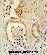
![]() |
Z385B Antibody (N-term) (Cat. #P30714) immunohistochemistry analysis in formalin fixed and paraffin embedded human prostate carcinoma followed by peroxidase conjugation of the secondary antibody and DAB staining. This data demonstrates the use of the Z385B Antibody (N-term) for immunohistochemistry. Clinical relevance has not been evaluated. |
本公司的所有产品仅用于科学研究或者工业应用等非医疗目的,不可用于人类或动物的临床诊断或治疗,非药用,非食用。
暂无评论
本公司的所有产品仅用于科学研究或者工业应用等非医疗目的,不可用于人类或动物的临床诊断或治疗,非药用,非食用。
中文


发表回复