别名:应用:IHC
反应种属:Human, Mouse
规格:50μl/100μl
| Description |
|---|
| ZADH2 (zinc binding alcohol dehydrogenase domain containing 2) is a 377 amino acid protein that belongs to the zinc-containing alcohol dehydrogenase family and is encoded by a gene which maps to human chromosome 18. Chromosome 18 houses over 300 protein-coding genes and contains nearly 76 million bases. There are a variety of diseases associated with defects in chromosome 18-localized genes, some of which include Trisomy 18 (also known as Edwards syndrome), Niemann-Pick disease, hereditary hemorrhagic telangiectasia, erythropoietic protoporphyria and follicular lymphomas. |
| Specification | |
|---|---|
| Swissprot | Q8N4Q0 |
| Host/Isotype | Rabbit IgG |
| Storage | Store at 4°C short term. Aliquot and store at -20°C long term. Avoid freeze/thaw cycles. |
| Species Reactivity | Human, Mouse |
| Immunogen | Synthetic peptide of human ZADH2 |
| Formulation | pH7.4 PBS, 0.05% NaN3, 40% Glycerol |
| Application | |
|---|---|
| IHC | 1/50-1/200 |
| ELISA | 1/2000-1/5000 |
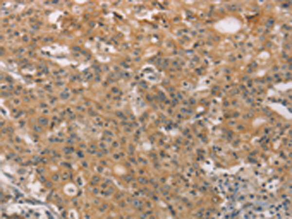
![]() |
The image is immunohistochemistry of paraffin-embedded Human liver cancer tissue using P03669(ZADH2 Antibody) at dilution 1/51. (Original magnification: ×200) |
![]() |
The image is immunohistochemistry of paraffin-embedded Human gastric cancer tissue using P03669(ZADH2 Antibody) at dilution 1/51. (Original magnification: ×200) |
本公司的所有产品仅用于科学研究或者工业应用等非医疗目的,不可用于人类或动物的临床诊断或治疗,非药用,非食用。
暂无评论
本公司的所有产品仅用于科学研究或者工业应用等非医疗目的,不可用于人类或动物的临床诊断或治疗,非药用,非食用。
中文


发表回复