别名:ZNF903; KAISO-L1应用:IHC
反应种属:Human, Rat
规格:50μl/100μl
| Description |
|---|
| ZBTB4 (zinc finger and BTB domain containing 4), also known as KAISO-L1 (KAISO-like zinc finger protein 1), is a 1,013 amino acid nuclear protein that is involved in transcriptional regulation. ZBTB4 contains one BTB (POZ) domain, six C2H2-type zinc fingers and is phosphorylated and downregulated by HIPK2. The gene encoding ZBTB4 maps to human chromosome 17, which comprises over 2.5% of the human genome and encodes over 1,200 genes. |
| Specification | |
|---|---|
| Aliases | ZNF903; KAISO-L1 |
| Swissprot | Q9P1Z0 |
| Host/Isotype | Rabbit IgG |
| Storage | Store at 4°C short term. Aliquot and store at -20°C long term. Avoid freeze/thaw cycles. |
| Species Reactivity | Human, Rat |
| Immunogen | Synthetic peptide of human ZBTB4 |
| Formulation | pH7.4 PBS, 0.05% NaN3, 40% Glycerol |
| Application | |
|---|---|
| IHC | 1/20-1/100 |
| ELISA | 1/5000-1/10000 |
![]() |
The image is immunohistochemistry of paraffin-embedded Human prostate cancer tissue using P12834(ZBTB4 Antibody) at dilution 1/20. (Original magnification: ×200) |
![]() |
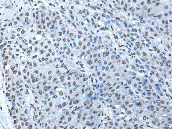
The image is immunohistochemistry of paraffin-embedded Human liver cancer tissue using P12834(ZBTB4 Antibody) at dilution 1/20. (Original magnification: ×200) |
本公司的所有产品仅用于科学研究或者工业应用等非医疗目的,不可用于人类或动物的临床诊断或治疗,非药用,非食用。
暂无评论
本公司的所有产品仅用于科学研究或者工业应用等非医疗目的,不可用于人类或动物的临床诊断或治疗,非药用,非食用。
中文


发表回复