别名:Adenylate kinase 2, mitochondrial {ECO:0000255|HAMAP-Rule:MF_03168}, AK 2 {ECO:0000255|HAMAP-Rule:MF_03168}, 2743 {ECO:0000255|HAMAP-Rule:MF_03168}, ATP-AMP transphosphorylase 2 {ECO:0000255|HAMAP-Rule:MF_03168}, ATP:AMP phosphotransferase {ECO:0000255|HAMAP-Rule:MF_03168}, Adenylate monophosphate kinase {ECO:0000255|HAMAP-Rule:MF_03168}, ak2应用:WB,IHC,FCM
反应种属:Human, zebrafish, Mouse
规格:50μl/100μl
| Description |
|---|
| Catalyzes the reversible transfer of the terminal phosphate group between ATP and AMP. Plays an important role in cellular energy homeostasis and in adenine nucleotide metabolism. Adenylate kinase activity is critical for regulation of the phosphate utilization and the AMP de novo biosynthesis pathways. Plays a key role in hematopoiesis. |
| Specification | |
|---|---|
| Aliases | Adenylate kinase 2, mitochondrial {ECO:0000255|HAMAP-Rule:MF_03168}, AK 2 {ECO:0000255|HAMAP-Rule:MF_03168}, 2743 {ECO:0000255|HAMAP-Rule:MF_03168}, ATP-AMP transphosphorylase 2 {ECO:0000255|HAMAP-Rule:MF_03168}, ATP:AMP phosphotransferase {ECO:0000255|HAMAP-Rule:MF_03168}, Adenylate monophosphate kinase {ECO:0000255|HAMAP-Rule:MF_03168}, ak2 |
| Entrez GeneID | 321793 |
| Swissprot | Q1L8L9 |
| WB Predicted band size | 26.6kDa |
| Host/Isotype | Rabbit IgG |
| Storage | Store at 4°C short term. Aliquot and store at -20°C long term. Avoid freeze/thaw cycles. |
| Species Reactivity | Human, zebrafish, Mouse |
| Immunogen | This Zebrafish ak2 antibody is generated from a rabbit immunized with a KLH conjugated synthetic peptide between 147-183 amino acids from the Central region of Zebrafish ak2. |
| Application | |
|---|---|
| WB | 1/2000 |
| IHC | 1/100-1/500 |
| FCM | 1/25 |
![]() |
All lanes : Anti-Zebrafish ak2 Antibody (Center) at 1:2000 dilution Lane 1: Zebrafish lysates Lane 2: ZF4 whole cell lysates Lane 3: human heart lysates Lane 4: mouse liver lysates Lysates/proteins at 20 µg per lane. Secondary Predicted band size : 27 kDa Blocking/Dilution buffer: 5% NFDM/TBST. |
![]() |
Overlay histogram showing ZF4 cells stained with P33276 (green line). The cells were fixed with 2% paraformaldehyde (10 min) and then permeabilized with 90% methanol for 10 min. The cells were then icubated in 2% bovine serum albumin to block non-specific protein-protein interactions followed by the antibody (P33276, 1:25 dilution) for 60 min at 37ºC. The secondary antibody used was Goat-Anti-Rabbit IgG, DyLight® 488 Conjugated Highly Cross-Adsorbed(OH191631) at 1/400 dilution for 40 min at 37ºC. Isotype control antibody (blue line) was rabbit IgG (1μg/1×10^6 cells) used under the same conditions. Acquisition of >10, 000 events was performed. |
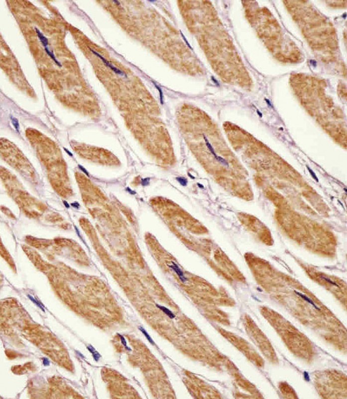
![]() |
P33276 staining Zebrafish ak2 in human heart tissue sections by Immunohistochemistry (IHC-P – paraformaldehyde-fixed, paraffin-embedded sections). Tissue was fixed with formaldehyde and blocked with 3% BSA for 0. 5 hour at room temperature; antigen retrieval was by heat mediation with a citrate buffer (pH6). Samples were incubated with primary antibody (1/25) for 1 hours at 37°C. A undiluted biotinylated goat polyvalent antibody was used as the secondary antibody. |
![]() |
P33276 staining Zebrafish ak2 in zebra fish body tissue sections by Immunohistochemistry (IHC-P – paraformaldehyde-fixed, paraffin-embedded sections). Tissue was fixed with formaldehyde and blocked with 3% BSA for 0. 5 hour at room temperature; antigen retrieval was by heat mediation with a citrate buffer (pH6). Samples were incubated with primary antibody (1/25) for 1 hours at 37°C. A undiluted biotinylated goat polyvalent antibody was used as the secondary antibody. |
本公司的所有产品仅用于科学研究或者工业应用等非医疗目的,不可用于人类或动物的临床诊断或治疗,非药用,非食用。
暂无评论
本公司的所有产品仅用于科学研究或者工业应用等非医疗目的,不可用于人类或动物的临床诊断或治疗,非药用,非食用。
中文




发表回复