别名:AIRAP应用:WB,IHC
反应种属:Human
规格:50μl/100μl
| Description |
|---|
| ZFAND2A (AN1-type zinc finger protein 2A) is a 171 amino acid protein containing two AN1-type zinc fingers. AN1-type zinc fingers contain six conserved cysteines, two histidines and have a dimetal (zinc)-bound alpha/beta fold. The gene encoding ZFAND2A maps to human chromosome 7, which houses over 1,000 genes and comprises nearly 5% of the human genome. |
| Specification | |
|---|---|
| Aliases | AIRAP |
| Swissprot | Q8N6M9 |
| WB Predicted band size | 16 kDa |
| Host/Isotype | Rabbit IgG |
| Storage | Store at 4°C short term. Aliquot and store at -20°C long term. Avoid freeze/thaw cycles. |
| Species Reactivity | Human |
| Immunogen | Synthetic peptide of human ZFAND2A |
| Formulation | pH7.4 PBS, 0.05% NaN3, 40% Glycerol |
| Application | |
|---|---|
| WB | 1/200-1/1000 |
| IHC | 1/25-1/100 |
| ELISA | 1/1000-1/2000 |
![]() |
Gel: 12%SDS-PAGE, Lysate: 40 μg, Lane: Human normal kidney tissue, Primary antibody: P05561(ZFAND2A Antibody) at dilution 1/300, Secondary antibody: Goat anti rabbit IgG at 1/8000 dilution, Exposure time: 2 minutes |
![]() |
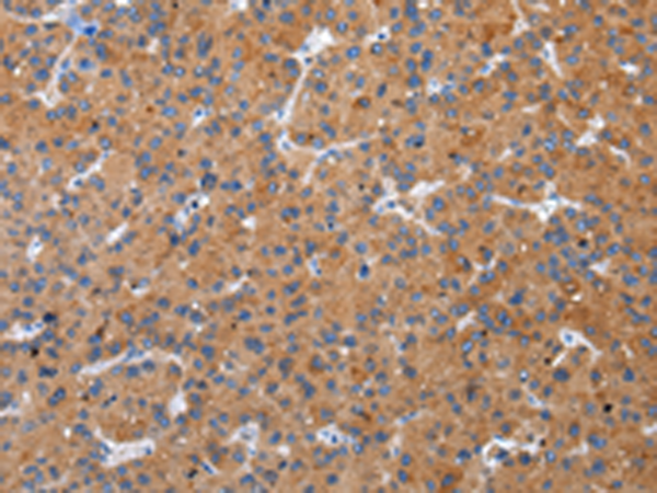
The image is immunohistochemistry of paraffin-embedded Human liver cancer tissue using P05561(ZFAND2A Antibody) at dilution 1/30. (Original magnification: ×200) |
![]() |
The image is immunohistochemistry of paraffin-embedded Human esophagus cancer tissue using P05561(ZFAND2A Antibody) at dilution 1/30. (Original magnification: ×200) |
本公司的所有产品仅用于科学研究或者工业应用等非医疗目的,不可用于人类或动物的临床诊断或治疗,非药用,非食用。
暂无评论
本公司的所有产品仅用于科学研究或者工业应用等非医疗目的,不可用于人类或动物的临床诊断或治疗,非药用,非食用。
中文



发表回复