别名:AIRAPL应用:WB,IHC
反应种属:Human, Mouse, Rat
规格:50μl/100μl
| Description |
|---|
| This gene encodes a protein containing AN1-type zinc-fingers and ubiquitin-interacting motifs. The encoded protein likely associates with the proteosome to stimulate the degradation of toxic or misfolded proteins. Alternatively spliced transcript variants encoding multiple isoforms have been observed for this gene. |
| Specification | |
|---|---|
| Aliases | AIRAPL |
| Swissprot | Q8WV99 |
| WB Predicted band size | 28 kDa |
| Host/Isotype | Rabbit IgG |
| Storage | Store at 4°C short term. Aliquot and store at -20°C long term. Avoid freeze/thaw cycles. |
| Species Reactivity | Human, Mouse, Rat |
| Immunogen | Synthetic peptide of human ZFAND2B |
| Formulation | pH7.4 PBS, 0.05% NaN3, 40% Glycerol |
| Application | |
|---|---|
| WB | 1/200-1/1000 |
| IHC | 1/50-1/100 |
| ELISA | 1/5000-1/10000 |
![]() |
Gel: 8%SDS-PAGE, Lysate: 40 μg, Lane: Mouse brain tissue lysate, Primary antibody: P12438(ZFAND2B Antibody) at dilution 1/400, Secondary antibody: Goat anti rabbit IgG at 1/5000 dilution, Exposure time: 1 minute |
![]() |
The image is immunohistochemistry of paraffin-embedded Human prostate cancer tissue using P12438(ZFAND2B Antibody) at dilution 1/20. (Original magnification: ×200) |
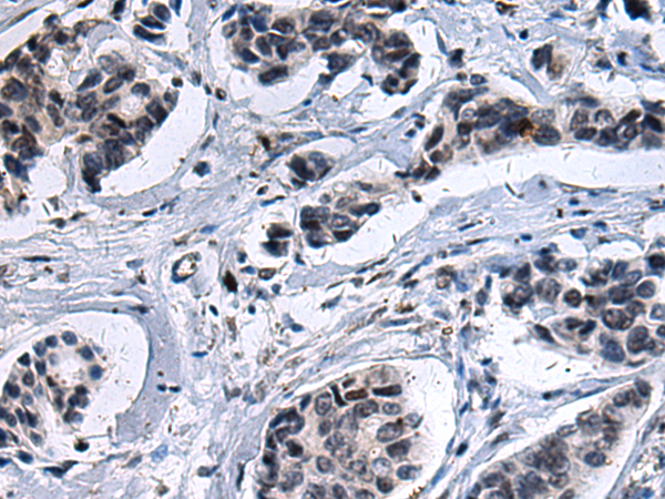
![]() |
The image is immunohistochemistry of paraffin-embedded Human breast cancer tissue using P12438(ZFAND2B Antibody) at dilution 1/20. (Original magnification: ×200) |
本公司的所有产品仅用于科学研究或者工业应用等非医疗目的,不可用于人类或动物的临床诊断或治疗,非药用,非食用。
暂无评论
本公司的所有产品仅用于科学研究或者工业应用等非医疗目的,不可用于人类或动物的临床诊断或治疗,非药用,非食用。
中文



发表回复