别名:MPFYVE应用:WB,IHC
反应种属:Human
规格:50μl/100μl
| Description |
|---|
| ZFYVE19 (zinc finger, FYVE domain containing 19), also known as MPFYVE (MLL partner containing FYVE domain), is a 471 amino acid protein that contains one FYVE-type zinc finger. Expressed in heart, brain, kidney, skeletal muscle and liver, ZFYVE19 may participate in transcriptional regulation events within the cell. Defects in the gene encoding ZFYVE19 are associated with acute myeloblastic leukemia (AML), a rapidly progressing cancer of the myeloid line of white blood cells that is characterized by fever, anemia, bone pain, shortness of breath and frequent infections. Three isoforms of ZFYVE19 exist due to alternative splicing events. |
| Specification | |
|---|---|
| Aliases | MPFYVE |
| Swissprot | Q96K21 |
| WB Predicted band size | 52 kDa |
| Host/Isotype | Rabbit IgG |
| Storage | Store at 4°C short term. Aliquot and store at -20°C long term. Avoid freeze/thaw cycles. |
| Species Reactivity | Human |
| Immunogen | Synthetic peptide of human ZFYVE19 |
| Formulation | pH7.4 PBS, 0.05% NaN3, 40% Glycerol |
| Application | |
|---|---|
| WB | 1/500-1/2000 |
| IHC | 1/50-1/200 |
| ELISA | 1/2000-1/5000 |
![]() |
Gel: 8%SDS-PAGE, Lysate: 40 μg, Lane 1-2: Hela cells, A431 cells, Primary antibody: P03693(ZFYVE19 Antibody) at dilution 1/500, Secondary antibody: Goat anti rabbit IgG at 1/8000 dilution, Exposure time: 20 seconds |
![]() |
The image is immunohistochemistry of paraffin-embedded Human thyroid cancer tissue using P03693(ZFYVE19 ? Antibody) at dilution 1/61. (Original magnification: ×200) |
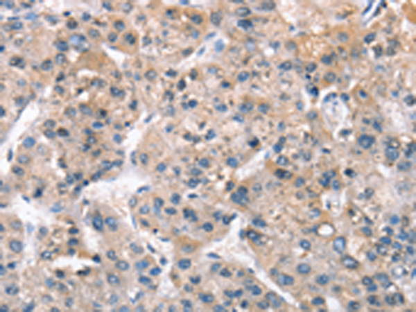
![]() |
The image is immunohistochemistry of paraffin-embedded Human liver cancer tissue using P03693(ZFYVE19 Antibody) at dilution 1/61. (Original magnification: ×200) |
本公司的所有产品仅用于科学研究或者工业应用等非医疗目的,不可用于人类或动物的临床诊断或治疗,非药用,非食用。
暂无评论
本公司的所有产品仅用于科学研究或者工业应用等非医疗目的,不可用于人类或动物的临床诊断或治疗,非药用,非食用。
中文



发表回复