别名:ZIP; ZC3H9; GPATC6; GPATCH6; ZC3HDC9; KIAA1847; RP4-583P15.3应用:IHC
反应种属:Human
规格:50μl/100μl
| Description |
|---|
| ZGPAT (Zinc finger CCCH-type with G patch domain-containing protein), also known as zinc finger CCCH domain-containing protein 9 (ZC3HDC9) and G patch domain-containing protein 6 (GPATC6), is a 531 amino acid protein that contains a G-patch domain, which is typically found within RNA-binding proteins. Proteins that contain the G-patch domain include some tumor suppressor and DNA-damage repair proteins. ZGPAT also contains one C3H1-type zinc finger, which further supports its probable role as an RNA-binding protein. The gene encoding ZGPAT is inactivated via differential methylation in a oligodendroglioma cell line, suggesting that ZGPAT may have utility as a biomarker. There are two isoforms of ZGPAT that are produced as a result of alternative splicing events. |
| Specification | |
|---|---|
| Aliases | ZIP; ZC3H9; GPATC6; GPATCH6; ZC3HDC9; KIAA1847; RP4-583P15.3 |
| Swissprot | Q8N5A5 |
| Host/Isotype | Rabbit IgG |
| Storage | Store at 4°C short term. Aliquot and store at -20°C long term. Avoid freeze/thaw cycles. |
| Species Reactivity | Human |
| Immunogen | Synthetic peptide of human ZGPAT |
| Formulation | pH7.4 PBS, 0.05% NaN3, 40% Glycerol |
| Application | |
|---|---|
| IHC | 1/50-1/200 |
| ELISA | 1/2000-1/5000 |
![]() |
The image is immunohistochemistry of paraffin-embedded Human gastric cancer tissue using P03695(ZGPAT ? Antibody) at dilution 1/60. (Original magnification: ×200) |
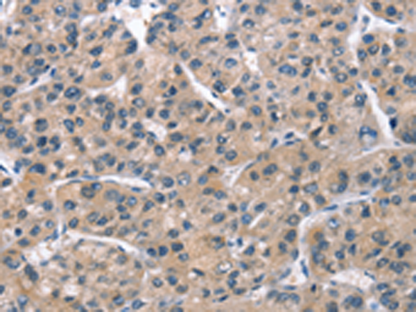
![]() |
The image is immunohistochemistry of paraffin-embedded Human liver cancer tissue using P03695(ZGPAT Antibody) at dilution 1/60. (Original magnification: ×200) |
本公司的所有产品仅用于科学研究或者工业应用等非医疗目的,不可用于人类或动物的临床诊断或治疗,非药用,非食用。
暂无评论
本公司的所有产品仅用于科学研究或者工业应用等非医疗目的,不可用于人类或动物的临床诊断或治疗,非药用,非食用。
中文


发表回复