别名:MIZ; RAI17; ZIMP10; hZIMP10; TRAFIP10应用:WB,IHC
反应种属:Human, Mouse
规格:50μl/100μl
| Description |
|---|
| This gene encodes a member of the PIAS (protein inhibitor of activated STAT) family of proteins. The encoded protein regulates the activity of various transcription factors, including the androgen receptor, Smad3/4, and p53. The encoded protein may also play a role in sumoylation. A translocation between this locus on chromosome 10 and the protein tyrosine kinase ABL1 locus on chromosome 9 has been associated with acute lymphoblastic leukemia. |
| Specification | |
|---|---|
| Aliases | MIZ; RAI17; ZIMP10; hZIMP10; TRAFIP10 |
| Swissprot | Q9ULJ6 |
| WB Predicted band size | 115 kDa |
| Host/Isotype | Rabbit IgG |
| Storage | Store at 4°C short term. Aliquot and store at -20°C long term. Avoid freeze/thaw cycles. |
| Species Reactivity | Human, Mouse |
| Immunogen | Synthetic peptide of human ZMIZ1 |
| Formulation | pH7.4 PBS, 0.05% NaN3, 40% Glycerol |
| Application | |
|---|---|
| WB | 1/200-1/1000 |
| IHC | 1/25-1/100 |
| ELISA | 1/1000-1/2000 |
![]() |
Gel: 6%SDS-PAGE, Lysate: 40 μg, Lane: 293T cells, Primary antibody: P12104(ZMIZ1 Antibody) at dilution 1/200, Secondary antibody: Goat anti rabbit IgG at 1/8000 dilution, Exposure time: 2 minutes |
![]() |
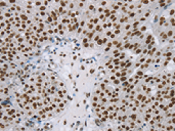
The image is immunohistochemistry of paraffin-embedded Human breast cancer tissue using P12104(ZMIZ1 Antibody) at dilution 1/20. (Original magnification: ×200) |
本公司的所有产品仅用于科学研究或者工业应用等非医疗目的,不可用于人类或动物的临床诊断或治疗,非药用,非食用。
暂无评论
本公司的所有产品仅用于科学研究或者工业应用等非医疗目的,不可用于人类或动物的临床诊断或治疗,非药用,非食用。
中文


发表回复