别名:SCELL应用:IHC
反应种属:Human
规格:50μl/100μl
| Description |
|---|
| Zinc-finger proteins bind nucleic acids and play important roles in various cellular functions, including cell proliferation, differentiation, and apoptosis. This gene encodes a LIM-domain zinc finger protein. The LIM domain is composed of two contiguous zinc finger domains, separated by a two-amino acid residue hydrophobic linker. The LIM domain mediates protein:protein interactions. Multiple alternatively spliced transcript variants encoding different isoforms have been identified. |
| Specification | |
|---|---|
| Aliases | SCELL |
| Swissprot | O15231 |
| Host/Isotype | Rabbit IgG |
| Storage | Store at 4°C short term. Aliquot and store at -20°C long term. Avoid freeze/thaw cycles. |
| Species Reactivity | Human |
| Immunogen | Synthetic peptide of human ZNF185 |
| Formulation | pH7.4 PBS, 0.05% NaN3, 40% Glycerol |
| Application | |
|---|---|
| IHC | 1/40-1/200 |
| ELISA | 1/5000-1/10000 |
![]() |
The image is immunohistochemistry of paraffin-embedded Human brain tissue using P12446(ZNF185 Antibody) at dilution 1/25. (Original magnification: ×200) |
![]() |
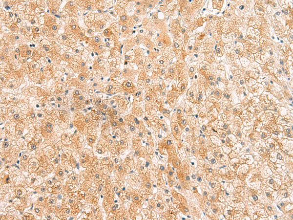
The image is immunohistochemistry of paraffin-embedded Human liver cancer tissue using P12446(ZNF185 Antibody) at dilution 1/25. (Original magnification: ×200) |
本公司的所有产品仅用于科学研究或者工业应用等非医疗目的,不可用于人类或动物的临床诊断或治疗,非药用,非食用。
暂无评论
本公司的所有产品仅用于科学研究或者工业应用等非医疗目的,不可用于人类或动物的临床诊断或治疗,非药用,非食用。
中文


发表回复