别名:ZKSCAN4; ZNF307; ZNF427; Zinc finger protein with KRAB and SCAN domains 4; P373c6.1; Zinc finger protein 307; Zinc finger protein 427应用:WB,IHC
反应种属:Human
规格:50μl/100μl
| Description |
|---|
| May be involved in the transcriptional activation of MDM2 and EP300 genes. |
| Specification | |
|---|---|
| Aliases | ZKSCAN4; ZNF307; ZNF427; Zinc finger protein with KRAB and SCAN domains 4; P373c6.1; Zinc finger protein 307; Zinc finger protein 427 |
| Entrez GeneID | 387032 |
| Swissprot | Q969J2 |
| WB Predicted band size | Calculated MW: 62 kDa; Observed MW: 62 kDa |
| Host/Isotype | Rabbit IgG |
| Storage | Store at 4°C short term. Aliquot and store at -20°C long term. Avoid freeze/thaw cycles. |
| Species Reactivity | Human |
| Immunogen | Synthesized peptide derived from the Internal region of human ZKSCAN4. |
| Formulation | Liquid in PBS containing 50% glycerol, 0.5% BSA and 0.02% sodium azide, pH 7.3. |
| Application | |
|---|---|
| WB | 1/500-1/1000 |
| IHC | 1/50-1/100 |
| ELISA | 1/10000 |
![]() |
Western blot analysis of ZNF307 in MCF-7, HepG2, 293, mouse brain, mouse lung lysates using ZNF307 antibody. |
![]() |
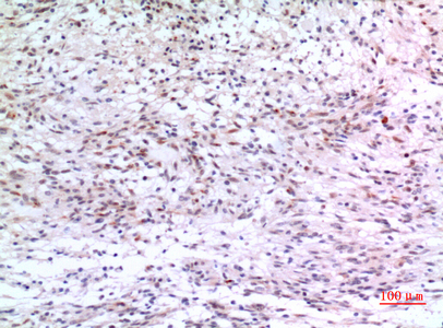
Immunohistochemistry analysis of paraffin-embedded Human brain using ZNF307 antibody.High-pressure and temperature Sodium Citrate pH 6.0 was used for antigen retrieval. |
![]() |
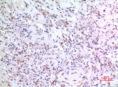
Immunohistochemistry analysis of paraffin-embedded Human brain using ZNF307 antibody. High-pressure and temperature Sodium Citrate pH 6.0 was used for antigen retrieval. |
![]() |
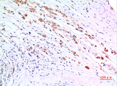
Immunohistochemistry analysis of paraffin-embedded Human brain using ZNF307 antibody.High-pressure and temperature Sodium Citrate pH 6.0 was used for antigen retrieval. |
本公司的所有产品仅用于科学研究或者工业应用等非医疗目的,不可用于人类或动物的临床诊断或治疗,非药用,非食用。
暂无评论
本公司的所有产品仅用于科学研究或者工业应用等非医疗目的,不可用于人类或动物的临床诊断或治疗,非药用,非食用。
中文




发表回复