别名:Zinc finger protein 499; Zinc finger and BTB domain-containing protein 45; ZBTB45应用:WB,IHC
反应种属:Human,Mouse,Rat
规格:50μl/100μl
| Description |
|---|
| May be involved in transcriptional regulation (Probable). |
| Specification | |
|---|---|
| Aliases | Zinc finger protein 499; Zinc finger and BTB domain-containing protein 45; ZBTB45 |
| Entrez GeneID | 84878 |
| Swissprot | Q96K62 |
| WB Predicted band size | Calculated MW: 54 kDa; Observed MW: 70 kDa |
| Host/Isotype | Rabbit IgG |
| Storage | Store at 4°C short term. Aliquot and store at -20°C long term. Avoid freeze/thaw cycles. |
| Species Reactivity | Human,Mouse,Rat |
| Immunogen | Recombinant Protein of ZBTB45 |
| Formulation | Liquid in PBS containing 50% glycerol, 0.5% BSA and 0.02% sodium azide, pH 7.3. |
| Application | |
|---|---|
| WB | 1/500-1/1000 |
| IHC | 1/50-1/100 |
![]() |
Western blot analysis of ZNF499 in Hela, Jurkat, mouse Brain, mouse Kidney, rat Brain lysates using ZNF499 antibody. |
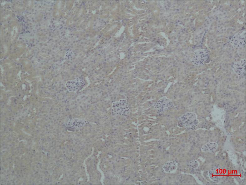
![]() |
Immunohistochemistry analysis of paraffin-embedded mouse Kidney Tissue using ZNF499 antibody.High-pressure and temperature Sodium Citrate pH 6.0 was used for antigen retrieval. |
本公司的所有产品仅用于科学研究或者工业应用等非医疗目的,不可用于人类或动物的临床诊断或治疗,非药用,非食用。
暂无评论
本公司的所有产品仅用于科学研究或者工业应用等非医疗目的,不可用于人类或动物的临床诊断或治疗,非药用,非食用。
中文


发表回复