别名:Zinc finger protein 667, ZNF667应用:WB,IHC,FCM
反应种属:Human
规格:50μl/100μl
| Description |
|---|
| May be involved in transcriptional regulation (By similarity). |
| Specification | |
|---|---|
| Aliases | Zinc finger protein 667, ZNF667 |
| Entrez GeneID | 63934 |
| Swissprot | Q5HYK9 |
| WB Predicted band size | 70.2kDa |
| Host/Isotype | Rabbit IgG |
| Storage | Store at 4°C short term. Aliquot and store at -20°C long term. Avoid freeze/thaw cycles. |
| Species Reactivity | Human |
| Immunogen | This ZNF667 antibody is generated from rabbits immunized with a KLH conjugated synthetic peptide between 303-331 amino acids from the Central region of human ZNF667. |
| Formulation | Purified polyclonal antibody supplied in PBS with 0.05% sodium azide. This antibody is purified through a protein A column, followed by peptide affinity purification. |
| Application | |
|---|---|
| WB | 1/1000 |
| IHC | 1/100-1/500 |
| FCM | 1/10-1/50 |
![]() |
ZNF667 Antibody (Center) (Cat. #P30807) western blot analysis in CEM cell line lysates (35ug/lane).This demonstrates the ZNF667 antibody detected the ZNF667 protein (arrow). |
![]() |
ZNF667 Antibody (Center) (Cat. #P30807) flow cytometric analysis of CEM cells (right histogram) compared to a negative control cell (left histogram).FITC-conjugated goat-anti-rabbit secondary antibodies were used for the analysis. |
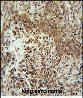
![]() |
ZNF667 Antibody (Center) (Cat. #AP10552c) immunohistochemistry analysis in formalin fixed and paraffin embedded human lung carcinoma followed by peroxidase conjugation of the secondary antibody and DAB staining. This data demonstrates the use of the ZNF667 Antibody (Center) for immunohistochemistry. Clinical relevance has not been evaluated. |
本公司的所有产品仅用于科学研究或者工业应用等非医疗目的,不可用于人类或动物的临床诊断或治疗,非药用,非食用。
暂无评论
本公司的所有产品仅用于科学研究或者工业应用等非医疗目的,不可用于人类或动物的临床诊断或治疗,非药用,非食用。
中文



发表回复