别名:ZNF523; Zfp523; D6S229E应用:WB,IHC
反应种属:Human, Mouse, Rat
规格:50μl/100μl
| Description |
|---|
| ZNF76, also known as ZNF523 or Zfp523, is a transcriptional repressor expressed in the testis. It is the human homolog of the Xenopus Staf protein (selenocysteine tRNA gene transcription-activating factor) known to regulate the genes encoding small nuclear RNA and selenocysteine tRNA. ZNF76 localizes to the nucleus and exerts an inhibitory function on p53-mediated transactivation. ZNF76 specifically targets TFIID (TATA-binding protein). The interaction with TFIID occurs through both its N and C termini. The transcriptional repression activity of ZNF76 is predominantly regulated by lysine modifications, acetylation and sumoylation. ZNF76 is sumoylated by PIAS 1 and is acetylated by p300. Acetylation leads to the loss of sumoylation and a weakened TFIID interaction. ZNF76 can be deacetylated by HDAC1. In addition to lysine modifications, ZNF76 activity is also controlled by splice variants. Two isoforms exist due to alternative splicing. These isoforms vary in their ability to interact with TFIID. |
| Specification | |
|---|---|
| Aliases | ZNF523; Zfp523; D6S229E |
| Swissprot | P36508 |
| WB Predicted band size | 62 kDa |
| Host/Isotype | Rabbit IgG |
| Storage | Store at 4°C short term. Aliquot and store at -20°C long term. Avoid freeze/thaw cycles. |
| Species Reactivity | Human, Mouse, Rat |
| Immunogen | Synthetic peptide of human ZNF76 |
| Formulation | pH7.4 PBS, 0.05% NaN3, 40% Glycerol |
| Application | |
|---|---|
| WB | 1/200-1/1000 |
| IHC | 1/20-1/100 |
| ELISA | 1/5000-1/10000 |
![]() |
Gel: 8%SDS-PAGE, Lysate: 40 μg, Lane: K562 cell lysate, Primary antibody: P05964(ZNF76 Antibody) at dilution 1/200, Secondary antibody: Goat anti rabbit IgG at 1/8000 dilution, Exposure time: 1 minute |
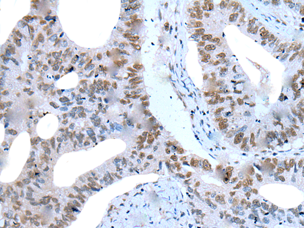
![]() |
The image is immunohistochemistry of paraffin-embedded Human colorectal cancer tissue using P05964(ZNF76 Antibody) at dilution 1/20. (Original magnification: ×200) |
本公司的所有产品仅用于科学研究或者工业应用等非医疗目的,不可用于人类或动物的临床诊断或治疗,非药用,非食用。
暂无评论
本公司的所有产品仅用于科学研究或者工业应用等非医疗目的,不可用于人类或动物的临床诊断或治疗,非药用,非食用。
中文


发表回复