别名:Zinc finger protein 98, Zinc finger protein 739, Zinc finger protein F7175, ZNF98, ZNF739应用:WB,IHC,FCM
反应种属:Human
规格:50μl/100μl
| Description |
|---|
| May be involved in transcriptional regulation. |
| Specification | |
|---|---|
| Aliases | Zinc finger protein 98, Zinc finger protein 739, Zinc finger protein F7175, ZNF98, ZNF739 |
| Entrez GeneID | 148198 |
| Swissprot | A6NK75 |
| WB Predicted band size | 65.8kDa |
| Host/Isotype | Rabbit IgG |
| Storage | Store at 4°C short term. Aliquot and store at -20°C long term. Avoid freeze/thaw cycles. |
| Species Reactivity | Human |
| Immunogen | This ZNF98 antibody is generated from rabbits immunized with a KLH conjugated synthetic peptide between 520-549 amino acids from the C-terminal region of human ZNF98. |
| Formulation | Purified polyclonal antibody supplied in PBS with 0.05% sodium azide. This antibody is purified through a protein A column, followed by peptide affinity purification. |
| Application | |
|---|---|
| WB | 1/1000 |
| IHC | 1/100-1/500 |
| FCM | 1/10-1/50 |
![]() |
ZNF98 Antibody (C-term) (Cat. #P30802) western blot analysis in MDA-MB435 cell line lysates (35ug/lane).This demonstrates the ZNF98 antibody detected the ZNF98 protein (arrow). |
![]() |
ZNF98 Antibody (C-term) (Cat. #P30802) flow cytometric analysis of MDA-MB435 cells (right histogram) compared to a negative control cell (left histogram).FITC-conjugated goat-anti-rabbit secondary antibodies were used for the analysis. |
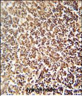
![]() |
ZNF98 antibody (C-term) (Cat. #P30802) immunohistochemistry analysis in formalin fixed and paraffin embedded human lymphnode followed by peroxidase conjugation of the secondary antibody and DAB staining. This data demonstrates the use of the ZNF98 antibody (C-term) for immunohistochemistry. Clinical relevance has not been evaluated. |
本公司的所有产品仅用于科学研究或者工业应用等非医疗目的,不可用于人类或动物的临床诊断或治疗,非药用,非食用。
暂无评论
本公司的所有产品仅用于科学研究或者工业应用等非医疗目的,不可用于人类或动物的临床诊断或治疗,非药用,非食用。
中文



发表回复