别名:TRIP3应用:IHC
反应种属:Human
规格:50μl/100μl
| Description |
|---|
| ZNHIT3 (zinc finger, HIT-type containing 3), also known as TRIP3 (thyroid receptor-interacting protein 3) or HNF-4a coactivator, is a 155 amino acid protein that contains one HIT-type zinc finger and regulates PPAR©-mediated adipocyte differentiation. ZNHIT3 also coactivates HNF-4å, and as a thyroid receptor interacting protein, ZNHIT3 interacts with the ligand binding domain of the thyroid receptor. The gene encoding ZNHIT3 maps to human chromosome 17, which comprises over 2.5% of the human genome and encodes over 1,200 genes. Two key tumor suppressor genes are associated with chromosome 17, namely, p53 and BRCA1. Malfunction or loss of p53 expression is associated with malignant cell growth and Li-Fraumeni syndrome. Like p53, BRCA1 is directly involved in DNA repair, though specifically it is recognized as a genetic determinant of early onset breast cancer and predisposition to cancers of the ovary, colon, prostate gland and fallopian tubes. |
| Specification | |
|---|---|
| Aliases | TRIP3 |
| Swissprot | Q15649 |
| Host/Isotype | Rabbit IgG |
| Storage | Store at 4°C short term. Aliquot and store at -20°C long term. Avoid freeze/thaw cycles. |
| Species Reactivity | Human |
| Immunogen | Synthetic peptide of human ZNHIT3 |
| Formulation | pH7.4 PBS, 0.05% NaN3, 40% Glycerol |
| Application | |
|---|---|
| IHC | 1/40-1/250 |
| ELISA | 1/5000-1/10000 |
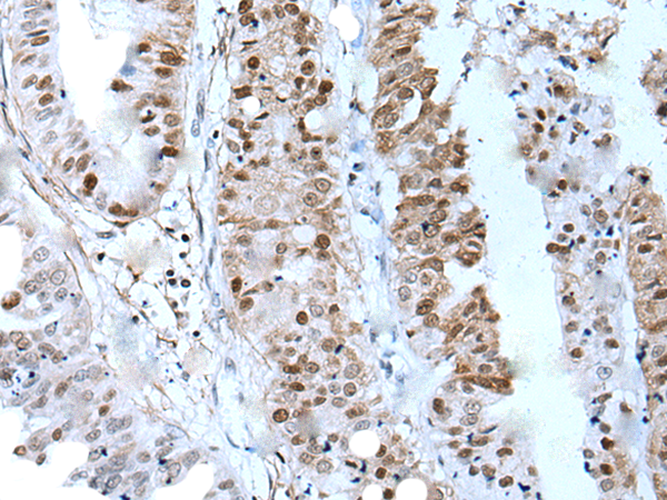
![]() |
The image is immunohistochemistry of paraffin-embedded Human lung cancer tissue using P12845(ZNHIT3 Antibody) at dilution 1/80. (Original magnification: ×200) |
![]() |
The image is immunohistochemistry of paraffin-embedded Human liver cancer tissue using P12845(ZNHIT3 Antibody) at dilution 1/80. (Original magnification: ×200) |
本公司的所有产品仅用于科学研究或者工业应用等非医疗目的,不可用于人类或动物的临床诊断或治疗,非药用,非食用。
暂无评论
本公司的所有产品仅用于科学研究或者工业应用等非医疗目的,不可用于人类或动物的临床诊断或治疗,非药用,非食用。
中文


发表回复