别名:U2 small nuclear ribonucleoprotein auxiliary factor 35 kDa subunit-related protein 2, CCCH type zinc finger, RNA-binding motif and serine/arginine rich protein 2, Renal carcinoma antigen NY-REN-20, U2(RNU2) small nuclear RNA auxiliary factor 1-like 2, U2AF35-related protein, URP, ZRSR2, U2AF1-RS2, U2AF1L2, U2AF1RS2, URP应用:WB,IHC
反应种属:Human, Mouse, Rat
规格:50μl/100μl
| Description |
|---|
| Pre-mRNA-binding protein required for splicing of both U2-and U12-type introns. Selectively interacts with the 3′-splice site of U2-and U12-type pre-mRNAs and promotes different steps in U2 and U12 intron splicing. Recruited to U12 pre-mRNAs in an ATP-dependent manner and is required for assembly of the prespliceosome, a precursor to other spliceosomal complexes. For U2-type introns, it is selectively and specifically required for the second step of splicing. |
| Specification | |
|---|---|
| Aliases | U2 small nuclear ribonucleoprotein auxiliary factor 35 kDa subunit-related protein 2, CCCH type zinc finger, RNA-binding motif and serine/arginine rich protein 2, Renal carcinoma antigen NY-REN-20, U2(RNU2) small nuclear RNA auxiliary factor 1-like 2, U2AF35-related protein, URP, ZRSR2, U2AF1-RS2, U2AF1L2, U2AF1RS2, URP |
| Entrez GeneID | 8233 |
| Swissprot | Q15696 |
| WB Predicted band size | 58.0kDa |
| Host/Isotype | Rabbit IgG |
| Storage | Store at 4°C short term. Aliquot and store at -20°C long term. Avoid freeze/thaw cycles. |
| Species Reactivity | Human, Mouse, Rat |
| Immunogen | This ZRSR2 antibody is generated from rabbits immunized with a KLH conjugated synthetic peptide between 453-482 amino acids from the C-terminal region of human ZRSR2. |
| Formulation | Purified polyclonal antibody supplied in PBS with 0.05% sodium azide. This antibody is purified through a protein A column, followed by peptide affinity purification. |
| Application | |
|---|---|
| WB | 1/1000 |
| IHC | 1/100-1/500 |
![]() |
ZRSR2 Antibody (C-term) (Cat. #P32483) western blot analysis in 293,HepG2,HL-60,Jurkat,MCF-7,ZR-75-1 cell line lysates (35ug/lane).This demonstrates the ZRSR2 antibody detected the ZRSR2 protein (arrow). |
![]() |
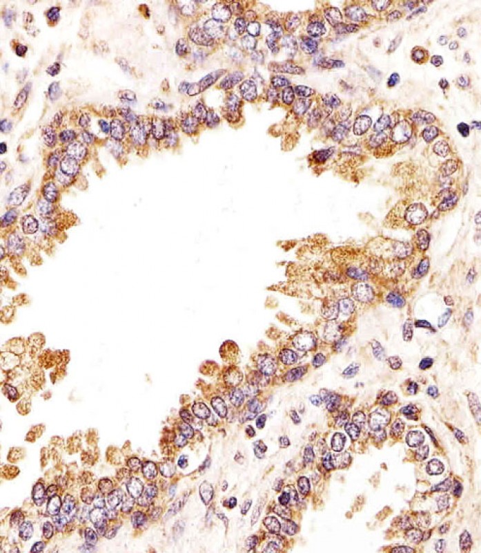
Immunohistochemical analysis of paraffin-embedded H. prostate section using ZRSR2 Antibody (C-term)(Cat#P32483). P32483 was diluted at 1:25 dilution. A undiluted biotinylated goat polyvalent antibody was used as the secondary, followed by DAB staining. |
![]() |
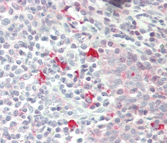
Formalin-fixed and paraffin-embedded H.tonsil tissue reacted with ZRSR2 Antibody (C-term) (Cat#P32483). |
本公司的所有产品仅用于科学研究或者工业应用等非医疗目的,不可用于人类或动物的临床诊断或治疗,非药用,非食用。
暂无评论
本公司的所有产品仅用于科学研究或者工业应用等非医疗目的,不可用于人类或动物的临床诊断或治疗,非药用,非食用。
中文



发表回复