别名:ESP-2; HED-2应用:WB,IHC
反应种属:Human
规格:50μl/100μl
| Description |
|---|
| Focal adhesions are actin-rich structures that enable cells to adhere to the extracellular matrix and at which protein complexes involved in signal transduction assemble. Zyxin is a zinc-binding phosphoprotein that concentrates at focal adhesions and along the actin cytoskeleton. Zyxin has an N-terminal proline-rich domain and three LIM domains in its C-terminal half. The proline-rich domain may interact with SH3 domains of proteins involved in signal transduction pathways while the LIM domains are likely involved in protein-protein binding. Zyxin may function as a messenger in the signal transduction pathway that mediates adhesion-stimulated changes in gene expression and may modulate the cytoskeletal organization of actin bundles. Alternative splicing results in multiple transcript variants that encode the same isoform. |
| Specification | |
|---|---|
| Aliases | ESP-2; HED-2 |
| Entrez GeneID | 7791; |
| Swissprot | Q15942 |
| WB Predicted band size | 61kDa |
| Storage | Store at 4°C short term. Aliquot and store at -20°C long term. Avoid freeze/thaw cycles. |
| Species Reactivity | Human |
| Immunogen | Fusion protein of human ZYX |
| Formulation | Rabbit IgG in pH7.4 PBS, 0.05% NaN3, 40% Glycerol. |
| Application | |
|---|---|
| WB | 1/200-1/1000 |
| IHC | 1/ 20-100 |
![]() |
Gel: 6%SDS-PAGE Lysate: 40 μg, Lane: 293T cell lysate, Primary antibody:ZYX antibody at dilution 1/250, Secondary antibody: Goat anti rabbit IgG at 1/8000 dilution, Exposure time: 10 seconds |
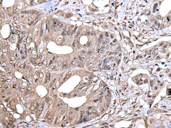
![]() |
The image on the left is immunohistochemistry of paraffin-embedded Human colorectal cancer tissue using ZYX Antibody at dilution 1/30, on the right is treated with fusion protein. (Original magnification: x200) |
本公司的所有产品仅用于科学研究或者工业应用等非医疗目的,不可用于人类或动物的临床诊断或治疗,非药用,非食用。
暂无评论
本公司的所有产品仅用于科学研究或者工业应用等非医疗目的,不可用于人类或动物的临床诊断或治疗,非药用,非食用。
中文


发表回复